missing translation for 'onlineSavingsMsg'
Learn More

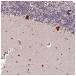
N4BP2L1, Rabbit, Polyclonal Antibody, Abnova™

Rabbit polyclonal antibody raised against recombinant N4BP2L1.

Brand:  Abnova PAB23375.100uL

Product Code. 16175910

  • £535.00 / 100µL

Please to purchase this item. Need a web account? Register with us today!

This item is not returnable. View return policy

Description

Description

Sequence: KIHRMKERYEHDVTFHSVLHAEKPSRMNRNQDRNNALPSNNARYWNSYTEFPNRRAHGGFTNESSYHRRG
Specifications

Specifications

N4BP2L1
Polyclonal
Rabbit polyclonal antibody raised against recombinant N4BP2L1.
In PBS, pH 7.5 (40% glycerol, 0.02% sodium azide)
CG018
Rabbit
Antigen affinity purification
RUO
90634
Store at 4°C. For long term storage store at -20°C.
Aliquot to avoid repeated freezing and thawing.
IgG
Immunohistochemistry (PFA fixed), Western Blot
Unconjugated
Immunohistochemistry (1:50-1:200) Western Blot (1:250-1:500) The optimal working dilution should be determined by the end user.
N4BP2L1
N4BP2L1
Recombinant protein corresponding to amino acids of human N4BP2L1.
100 μL
Primary
Human
Liquid
Product Suggestions

Product Suggestions

Videos
SDS
Documents

Documents

Certificates
Promotions

Promotions

Product Content Correction

Your input is important to us. Please complete this form to provide feedback related to the content on this product.

Product Title

By clicking Submit, you acknowledge that you may be contacted by Fisher Scientific in regards to the feedback you have provided in this form. We will not share your information for any other purposes. All contact information provided shall also be maintained in accordance with our Privacy Policy.

Thank You! Your feedback has been submitted. Fisher Scientific is always working to improve our content for you. We appreciate your feedback.

For Research Use Only