missing translation for 'onlineSavingsMsg'
Learn More

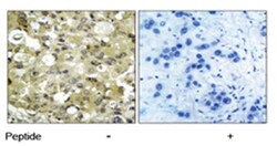
KDR Rabbit anti-Human, Mouse, Rat, Polyclonal Antibody, Abnova™

Rabbit polyclonal antibody raised against synthetic peptide of KDR.

Brand:  Abnova PAB5629.100ug

Product Code. 16159220

  • £332.00 / 100µg

Please to purchase this item. Need a web account? Register with us today!

This item is not returnable. View return policy

Description

Description

Vascular endothelial growth factor (VEGF) is a major growth factor for endothelial cells. This gene encodes one of the two receptors of the VEGF. This receptor, known as kinase insert domain receptor, is a type III receptor tyrosine kinase. It functions as the main mediator of VEGF-induced endothelial proliferation, survival, migration, tubular morphogenesis and sprouting. The signalling and trafficking of this receptor are regulated by multiple factors, including Rab GTPase, P2Y purine nucleotide receptor, integrin alphaVbeta3, T-cell protein tyrosine phosphatase, etc.. Mutations of this gene are implicated in infantile capillary hemangiomas. [provided by RefSeq

Specifications

Specifications

KDR
Polyclonal
Rabbit polyclonal antibody raised against synthetic peptide of KDR.
In PBS, 150mM NaCl, pH 7.4 (50% glycerol, 0.02% sodium azide)
CD309/FLK1/VEGFR/VEGFR2
Rabbit
100 μg
Primary
Human, Mouse, Rat
Liquid
Immunohistochemistry (PFA fixed), Western Blot
Unconjugated
Immunohistochemistry (1:50-1:100) Western Blot (1:500-1:1000) The optimal working dilution should be determined by the end user.
KDR
KDR
A synthetic peptide corresponding to residues surrounding Y951 of human KDR.
RUO
3791
Store at -20°C.
Aliquot to avoid repeated freezing and thawing.
Product Suggestions

Product Suggestions

Videos
SDS
Documents

Documents

Certificates
Promotions

Promotions

Product Content Correction

Your input is important to us. Please complete this form to provide feedback related to the content on this product.

Product Title

By clicking Submit, you acknowledge that you may be contacted by Fisher Scientific in regards to the feedback you have provided in this form. We will not share your information for any other purposes. All contact information provided shall also be maintained in accordance with our Privacy Policy.

Thank You! Your feedback has been submitted. Fisher Scientific is always working to improve our content for you. We appreciate your feedback.

For Research Use Only