missing translation for 'onlineSavingsMsg'
Learn More

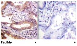
IRF3 Rabbit anti-Human, Polyclonal Antibody, Abnova™

Rabbit polyclonal antibody raised against synthetic peptide of IRF3.

Brand:  Abnova PAB18181.100ug

Product Code. 16172710

  • £349.00 / 100µg

Please to purchase this item. Need a web account? Register with us today!

This item is not returnable. View return policy

Description

Description

IRF3 encodes interferon regulatory factor 3, a member of the interferon regulatory transcription factor (IRF) family. IRF3 is found in an inactive cytoplasmic form that upon serine/threonine phosphorylation forms a complex with CREBBP. This complex translocates to the nucleus and activates the transcription of interferons alpha and beta, as well as other interferon-induced genes. [provided by RefSeq

Specifications

Specifications

IRF3
Polyclonal
Unconjugated
Western Blot (1:500-1:1000) Immunohistochemistry (1:50-1:100) Immunofluorescence (1:500-1:1000) ELISA (1:5000) The optimal working dilution should be determined by the end user.
IRF3
Rabbit
Affinity purification
RUO
3661
Human
Liquid
ELISA, Immunofluorescence, Immunohistochemistry (PFA fixed), Western Blot
1 mg/mL
Rabbit polyclonal antibody raised against synthetic peptide of IRF3.
In PBS, 150mM NaCl, pH 7.4 (50% glycerol, 0.02% sodium azide)
IRF3
A synthetic peptide corresponding to human IRF3.
100 μg
Primary
This antibody is specific to IRF3.
Store at -20°C.
Aliquot to avoid repeated freezing and thawing.
Product Suggestions

Product Suggestions

Videos
SDS
Documents

Documents

Certificates
Promotions

Promotions

Product Content Correction

Your input is important to us. Please complete this form to provide feedback related to the content on this product.

Product Title

By clicking Submit, you acknowledge that you may be contacted by Fisher Scientific in regards to the feedback you have provided in this form. We will not share your information for any other purposes. All contact information provided shall also be maintained in accordance with our Privacy Policy.

Thank You! Your feedback has been submitted. Fisher Scientific is always working to improve our content for you. We appreciate your feedback.

For Research Use Only