missing translation for 'onlineSavingsMsg'
Learn More

IRF2BP2 Rabbit anti-Human, Polyclonal Antibody, Abnova™

Rabbit polyclonal antibody raised against synthetic peptide of IRF2BP2.

Brand:  Abnova PAB25709.100ug

Product Code. 16035887

  • £535.00 / 100µg

Please to purchase this item. Need a web account? Register with us today!

This item is not returnable. View return policy

Description

Description

This gene encodes an interferon regulatory factor-2 (IRF2) binding protein that interacts with the C-terminal transcriptional repression domain of IRF2. Alternative splicing results in multiple transcript variants encoding distinct isoforms. [provided by RefSeq

Specifications

Specifications

IRF2BP2
Polyclonal
Unconjugated
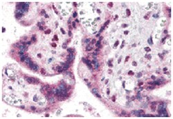
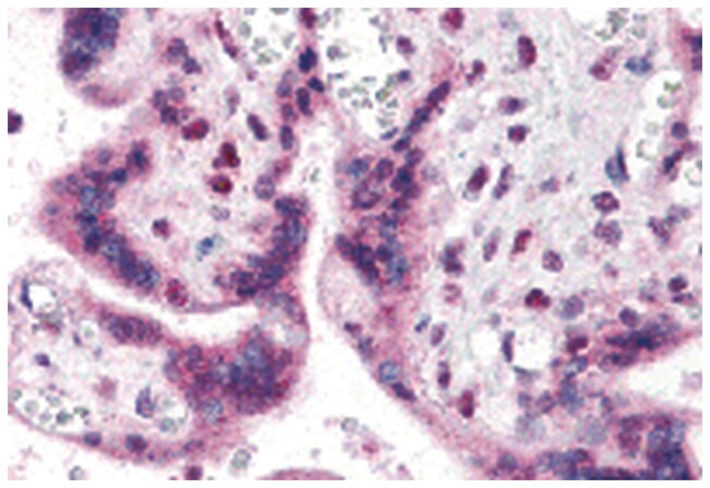
Immunohistochemistry (5 ug/mL) The optimal working dilution should be determined by the end user.
IRF2BP2
IRF2BP2
A synthetic peptide corresponding to 17 amino acids at N-terminus of human IRF2BP2.
100 μg
Primary
At least two isoforms of IRF2BP2 are known to exist; this antibody will detect both.
Store at 4°C for three months. For long term storage store at -20°C.
Aliquot to avoid repeated freezing and thawing.
IgG
ELISA, Immunohistochemistry
1 mg/mL
Rabbit polyclonal antibody raised against synthetic peptide of IRF2BP2.
In PBS (0.05% sodium azide)
MGC72189
Rabbit
Peptide affinity purification
RUO
359948
Human
Liquid
Product Suggestions

Product Suggestions

Videos
SDS
Documents

Documents

Certificates
Promotions

Promotions

Product Content Correction

Your input is important to us. Please complete this form to provide feedback related to the content on this product.

Product Title

By clicking Submit, you acknowledge that you may be contacted by Fisher Scientific in regards to the feedback you have provided in this form. We will not share your information for any other purposes. All contact information provided shall also be maintained in accordance with our Privacy Policy.

Thank You! Your feedback has been submitted. Fisher Scientific is always working to improve our content for you. We appreciate your feedback.

For Research Use Only