missing translation for 'onlineSavingsMsg'
Learn More

ILF3 Rabbit anti-Human, Mouse, Rat, Polyclonal Antibody, Abnova™

Rabbit polyclonal antibody raised against recombinant ILF3.

Brand:  Abnova PAB28534.100uL

Product Code. 16126820

  • £535.00 / 100µL

Please to purchase this item. Need a web account? Register with us today!

This item is not returnable. View return policy

Description

Description

This gene encodes a double-stranded RNA (dsRNA) binding protein that complexes with other proteins, dsRNAs, small noncoding RNAs, and mRNAs to regulate gene expression and stabilize mRNAs. This protein was first discovered to be a subunit of the nuclear factor of activated T-cells (NFAT); a transcription factor required for T-cell expression of interleukin 2. NFAT is a heterodimer of 45kDa and 90kDa proteins, the larger of which is the product of this gene. These proteins have been shown to affect the redistribution of nuclear mRNA to the cytoplasm. Knockdown of NF45 or NF90 protein retards cell growth; possibly by inhibition of mRNA stabilization. In contrast, an isoform (NF110) of this gene that is predominantly restricted to the nucleus has only minor effects on cell growth when its levels are reduced. Alternative splicing results in multiple transcript variants encoding distinct isoforms

Sequence: VMAKHSSVYPTQEELEAVQNMVSHTERALKAVSDWIDEQEKGSSEQAESDNMDVPPEDDSKEGAGEQKTEHMTRTLRGVMRVGLVAKGLLLKGDLDLELVLLCKEKPTTALLDKVADNLAIQLAAVTEDKYEILQSVDDAAIVIK
Specifications

Specifications

ILF3
Polyclonal
Rabbit polyclonal antibody raised against recombinant ILF3.
In PBS, pH 7.2 (40% glycerol, 0.02% sodium azide)
CBTF/DRBF/DRBP76/MMP4/MPHOSPH4/MPP4/NF-AT-90/NF110/NF90/NFAR/NFAR-1/NFAR2/TCP110/TCP80
Rabbit
Antigen affinity purification
RUO
3609
Store at 4°C. For long term storage store at -20°C.
Aliquot to avoid repeated freezing and thawing.
IgG
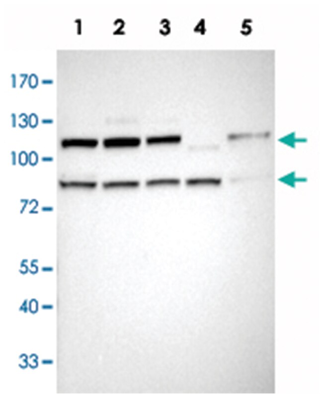
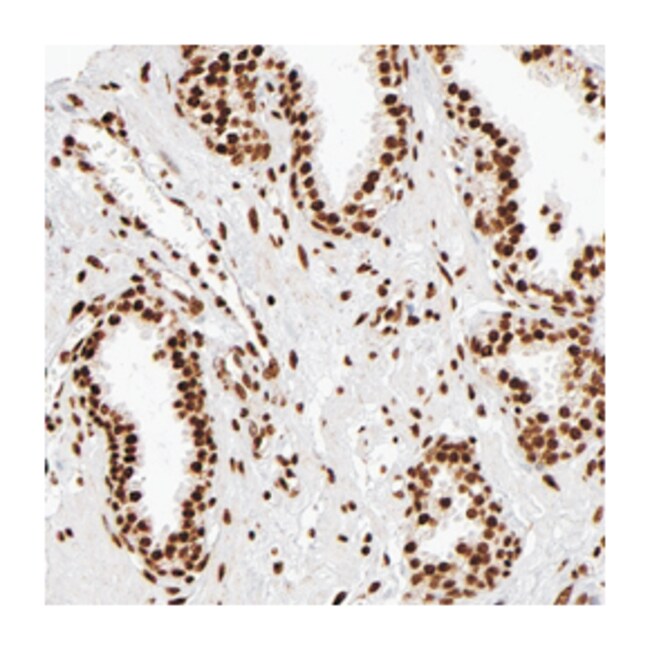
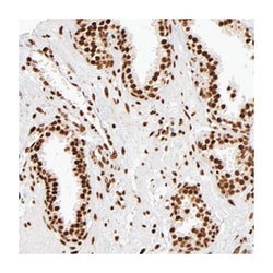
Immunofluorescence, Immunohistochemistry (PFA fixed), Western Blot
Unconjugated
Western Blot (1:100-1:500) Immunofluorescence (1-4 ug/ml) Immunohistochemistry (1:500-1:1000) The optimal working dilution should be determined by the end user.
ILF3
ILF3
Recombinant protein corresponding to amino acids of human ILF3.
100 μL
Primary
Human, Mouse, Rat
Liquid
Product Suggestions

Product Suggestions

Videos
SDS
Documents

Documents

Certificates
Promotions

Promotions

Product Content Correction

Your input is important to us. Please complete this form to provide feedback related to the content on this product.

Product Title

By clicking Submit, you acknowledge that you may be contacted by Fisher Scientific in regards to the feedback you have provided in this form. We will not share your information for any other purposes. All contact information provided shall also be maintained in accordance with our Privacy Policy.

Thank You! Your feedback has been submitted. Fisher Scientific is always working to improve our content for you. We appreciate your feedback.

For Research Use Only