missing translation for 'onlineSavingsMsg'
Learn More

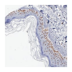
IFI16 Rabbit anti-Human, Polyclonal Antibody, Abnova™

Rabbit polyclonal antibody raised against recombinant IFI16.

Brand:  Abnova PAB28576.100uL

Product Code. 16166850

  • £535.00 / 100µL

Please to purchase this item. Need a web account? Register with us today!

This item is not returnable. View return policy

Description

Description

This gene encodes a member of the HIN-200 (hematopoietic interferon-inducible nuclear antigens with 200 amino acid repeats) family of cytokines. The encoded protein contains domains involved in DNA binding, transcriptional regulation, and protein-protein interactions. The protein localizes to the nucleoplasm and nucleoli, and interacts with p53 and retinoblastoma-1. It modulates p53 function, and inhibits cell growth in the Ras/Raf signaling pathway. [provided by RefSeq

Sequence: KEKFTPKKIIAIANYVCRNGFLEVYPFTLVADVNADRNMEIPKGLIRSASVTPKINQLCSQTKGSFVNGVFEVHKKNVRGEFTYYEIQDNTGKMEVVVHGRLTTINCEEGDKLKLTCFELAPKSGNTGELRSVIHSHIKVIK
Specifications

Specifications

IFI16
Polyclonal
Rabbit polyclonal antibody raised against recombinant IFI16.
In PBS, pH 7.2 (40% glycerol, 0.02% sodium azide)
IFNGIP1/MGC9466/PYHIN2
Rabbit
Antigen affinity purification
RUO
3428
Store at 4°C. For long term storage store at -20°C.
Aliquot to avoid repeated freezing and thawing.
IgG
Immunofluorescence, Immunohistochemistry (PFA fixed), Western Blot
Unconjugated
Western Blot (1:100-1:250) Immunohistochemistry (Formalin/PFA-fixed paraffin-embedded sections) (1:200-1:500) Immunofluorescence (1-4 ug/ml) The optimal working dilution should be determined by the end user.
IFI16
IFI16
Recombinant protein corresponding to human IFI16.
100 μL
Primary
Human
Liquid
Product Suggestions

Product Suggestions

Videos
SDS
Documents

Documents

Certificates
Promotions

Promotions

Product Content Correction

Your input is important to us. Please complete this form to provide feedback related to the content on this product.

Product Title

By clicking Submit, you acknowledge that you may be contacted by Fisher Scientific in regards to the feedback you have provided in this form. We will not share your information for any other purposes. All contact information provided shall also be maintained in accordance with our Privacy Policy.

Thank You! Your feedback has been submitted. Fisher Scientific is always working to improve our content for you. We appreciate your feedback.

For Research Use Only