missing translation for 'onlineSavingsMsg'
Learn More

GPR1 Rabbit anti-Human, Polyclonal Antibody, Abnova™

Rabbit polyclonal antibody raised against synthetic peptide of GPR1.

Brand:  Abnova PAB26333.50ug

Product Code. 16046517

  • £535.00 / 50µg

Please to purchase this item. Need a web account? Register with us today!

This item is not returnable. View return policy

Description

Description

Specifications

Specifications

GPR1
Polyclonal
Rabbit polyclonal antibody raised against synthetic peptide of GPR1.
In PBS (0.09% sodium azide)
P46091
Rabbit
Immunoaffinity chromatography
RUO
2825
Human
Liquid
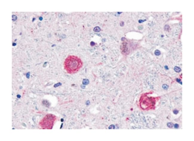
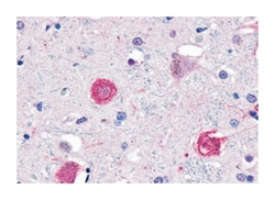
Immunohistochemistry (PFA fixed)
Unconjugated
Immunohistochemistry (Formalin/PFA-fixed paraffin-embedded sections) (23-46 ug/mL) The optimal working dilution should be determined by the end user.
GPR1
GPR1
A synthetic peptide corresponding to 17 amino acids at C-terminus of human GPR1.
50 μg
Primary
BLAST analysis of the peptide immunogen showed no homology with other human proteins.
Store at 4°C. For long term storage store at -80°C.
Aliquot to avoid repeated freezing and thawing.
Product Suggestions

Product Suggestions

Videos
SDS
Documents

Documents

Certificates
Promotions

Promotions

Product Content Correction

Your input is important to us. Please complete this form to provide feedback related to the content on this product.

Product Title

By clicking Submit, you acknowledge that you may be contacted by Fisher Scientific in regards to the feedback you have provided in this form. We will not share your information for any other purposes. All contact information provided shall also be maintained in accordance with our Privacy Policy.

Thank You! Your feedback has been submitted. Fisher Scientific is always working to improve our content for you. We appreciate your feedback.

For Research Use Only