missing translation for 'onlineSavingsMsg'
Learn More

GM2A, Rabbit, Polyclonal Antibody, Abnova™

Rabbit polyclonal antibody raised against synthetic peptide of GM2A.

Brand:  Abnova PAB28161.50ug

Product Code. 16097887

  • £535.00 / 50µg

Please to purchase this item. Need a web account? Register with us today!

This item is not returnable. View return policy

Description

Description

This gene encodes a small glycolipid transport protein which acts as a substrate specific co-factor for the lysosomal enzyme beta-hexosaminidase A. Beta-hexosaminidase A, together with GM2 ganglioside activator, catalyzes the degradation of the ganglioside GM2, and other molecules containing terminal N-acetyl hexosamines. Mutations in this gene result in GM2-gangliosidosis type AB or the AB variant of Tay-Sachs disease. [provided by RefSeq

Specifications

Specifications

GM2A
Polyclonal
Rabbit polyclonal antibody raised against synthetic peptide of GM2A.
In PBS (0.09% sodium azide)
P17900
GM2A
A synthetic peptide corresponding to 15 amino acids at internal region of human GM2A.
50 μg
Primary
BLAST analysis of the peptide immunogen showed no homology with other human proteins.
Store at 4°C. For long term storage store at -80°C.
Aliquot to avoid repeated freezing and thawing.
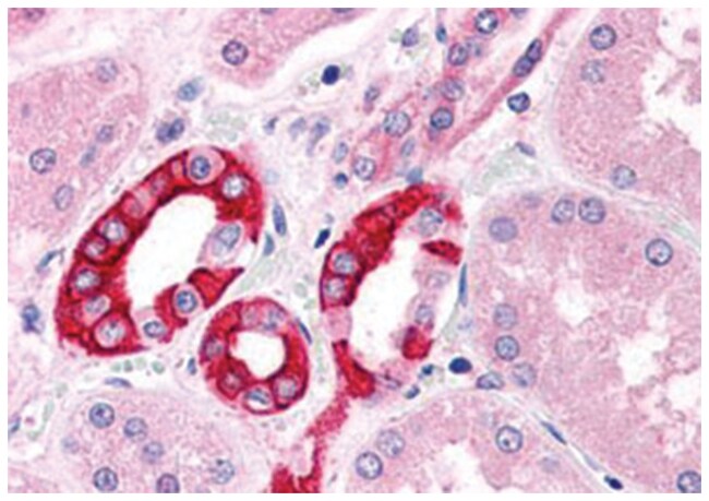
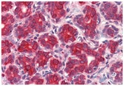
Immunohistochemistry (PFA fixed)
Unconjugated
Immunohistochemistry (Formalin/PFA-fixed paraffin-embedded sections) (5 ug/ml)
GM2A
SAP-3
Rabbit
Immunoaffinity chromatography
RUO
2760
Human
Liquid
Product Suggestions

Product Suggestions

Videos
SDS
Documents

Documents

Certificates
Promotions

Promotions

Product Content Correction

Your input is important to us. Please complete this form to provide feedback related to the content on this product.

Product Title

By clicking Submit, you acknowledge that you may be contacted by Fisher Scientific in regards to the feedback you have provided in this form. We will not share your information for any other purposes. All contact information provided shall also be maintained in accordance with our Privacy Policy.

Thank You! Your feedback has been submitted. Fisher Scientific is always working to improve our content for you. We appreciate your feedback.

For Research Use Only