missing translation for 'onlineSavingsMsg'
Learn More

FLNA, Rabbit, Polyclonal Antibody, Abnova™

Rabbit polyclonal antibody raised against recombinant FLNA.

Brand:  Abnova PAB28612.100uL

Product Code. 16196880

  • £535.00 / 100µL

Please to purchase this item. Need a web account? Register with us today!

This item is not returnable. View return policy

Description

Description

The protein encoded by this gene is an actin-binding protein that crosslinks actin filaments and links actin filaments to membrane glycoproteins. The encoded protein is involved in remodeling the cytoskeleton to effect changes in cell shape and migration. This protein interacts with integrins, transmembrane receptor complexes, and second messengers. Defects in this gene are a cause of several syndromes, including periventricular nodular heterotopias (PVNH1, PVNH4), otopalatodigital syndromes (OPD1, OPD2), frontometaphyseal dysplasia (FMD), Melnick-Needles syndrome (MNS), and X-linked congenital idiopathic intestinal pseudoobstruction (CIIPX). Two transcript variants encoding different isoforms have been found for this gene

Sequence: VICVRFGGEHVPNSPFQVTALAGDQPSVQPPLRSQQLAPQYTYAQGGQQTWAPERPLVGVNGLDVTSLRPFDLVIPFTIKKGEITGEVRMPSGKVAQPTITDNKDGTVTVRYAPSEAGLHEMDIRYDNMHIPGSPLQFYVDYVNCGHVT
Specifications

Specifications

FLNA
Polyclonal
Rabbit polyclonal antibody raised against recombinant FLNA.
In PBS, pH 7.2 (40% glycerol, 0.02% sodium azide)
ABP-280/ABPX/DKFZp434P031/FLN/FLN1/FMD/MNS/NHBP/OPD/OPD1/OPD2
Rabbit
Antigen affinity purification
RUO
2316
Store at 4°C. For long term storage store at -20°C.
Aliquot to avoid repeated freezing and thawing.
IgG
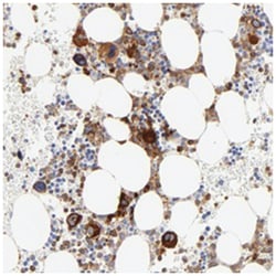
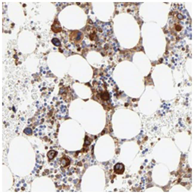
Immunofluorescence, Immunohistochemistry (PFA fixed), Western Blot
Unconjugated
Immunohistochemistry (1:200-1:500) Western Blot (1:100-1:500) Immunofluorescence (1-4 ug/ml) The optimal working dilution should be determined by the end user.
FLNA
FLNA
Recombinant protein corresponding to amino acids of human FLNA.
100 μL
Primary
Human, Mouse, Rat
Liquid
Product Suggestions

Product Suggestions

Videos
SDS
Documents

Documents

Certificates
Promotions

Promotions

Product Content Correction

Your input is important to us. Please complete this form to provide feedback related to the content on this product.

Product Title

By clicking Submit, you acknowledge that you may be contacted by Fisher Scientific in regards to the feedback you have provided in this form. We will not share your information for any other purposes. All contact information provided shall also be maintained in accordance with our Privacy Policy.

Thank You! Your feedback has been submitted. Fisher Scientific is always working to improve our content for you. We appreciate your feedback.

For Research Use Only