missing translation for 'onlineSavingsMsg'
Learn More

FGF8, Rabbit, Polyclonal Antibody, Abnova™

Rabbit polyclonal antibody raised against synthetic peptide of FGF8.

Brand:  Abnova PAB12306.100ug

Product Code. 16253270

  • £432.00 / 100µg

Please to purchase this item. Need a web account? Register with us today!

This item is not returnable. View return policy

Description

Description

The protein encoded by this gene is a member of the fibroblast growth factor (FGF) family. FGF family members possess broad mitogenic and cell survival activities, and are involved in a variety of biological processes, including embryonic development, cell growth, morphogenesis, tissue repair, tumor growth and invasion. This protein is known to be a factor that supports androgen and anchorage independent growth of mammary tumor cells. Overexpression of this gene has been shown to increase tumor growth and angiogensis. The adult expression of this gene is restricted to testes and ovaries. Temporal and spatial pattern of this gene expression suggests its function as an embryonic epithelial factor. Studies of the mouse and chick homologs revealed roles in midbrain and limb development, organogenesis, embryo gastrulation and left-right axis determination. The alternative splicing of this gene results in four transcript variants. [provided by RefSeq

Specifications

Specifications

FGF8
Polyclonal
Rabbit polyclonal antibody raised against synthetic peptide of FGF8.
Lyophilized from 0.9mg NaCl, 0.2mg Na2HPO4 (5mg BSA, 0.05mg sodium azide, 0.05mg Thimerosal)
AIGF/HBGF-8/MGC149376
Rabbit
Affinity purification
RUO
2253
Human, Mouse, Rat
Lyophilized
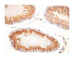
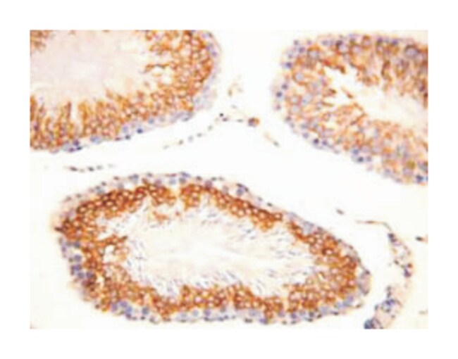
Immunohistochemistry (PFA fixed), Western Blot
Unconjugated
Western Blot (1 ug/mL) Immunohistochemistry (Formalin/PFA-fixed paraffin-embedded sections) (1-2 ug/mL) The optimal working dilution should be determined by the end user.
FGF8
FGF8
A synthetic peptide corresponding to amino acids at C-terminus of human FGF8.
100 μg
Primary
Identical to the related rat and mouse sequence.
Store at -20°C on dry atmosphere. After reconstitution with 200μL of deionized water and concentration will be 500μ/mL store at -20°C or lower. Aliquot to avoid repeated freezing and thawing.
IgG
Product Suggestions

Product Suggestions

Videos
SDS
Documents

Documents

Certificates
Promotions

Promotions

Product Content Correction

Your input is important to us. Please complete this form to provide feedback related to the content on this product.

Product Title

By clicking Submit, you acknowledge that you may be contacted by Fisher Scientific in regards to the feedback you have provided in this form. We will not share your information for any other purposes. All contact information provided shall also be maintained in accordance with our Privacy Policy.

Thank You! Your feedback has been submitted. Fisher Scientific is always working to improve our content for you. We appreciate your feedback.

For Research Use Only