missing translation for 'onlineSavingsMsg'
Learn More

EZR (phospho T353), Rabbit anti-Human, Mouse, Polyclonal Antibody, Abnova™

Rabbit polyclonal antibody raised against synthetic phosphopeptide of EZR.

Brand:  Abnova PAB18517.100ug

Product Code. 16063127

  • £349.00 / 100µg

Please to purchase this item. Need a web account? Register with us today!

This item is not returnable. View return policy

Description

Description

The cytoplasmic peripheral membrane protein encoded by this gene functions as a protein-tyrosine kinase substrate in microvilli. As a member of the ERM protein family, this protein serves as an intermediate between the plasma membrane and the actin cytoskeleton. This protein plays a key role in cell surface structure adhesion, migration and organization, and it has been implicated in various human cancers. A pseudogene located on chromosome 3 has been identified for this gene. Alternatively spliced variants have also been described for this gene. [provided by RefSeq

Specifications

Specifications

EZR
Polyclonal
Unconjugated
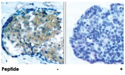
Western Blot (1:500-1:1000) Immunohistochemistry (1:50-1:100) The optimal working dilution should be determined by the end user.
EZR
CVIL/CVL/DKFZp762H157/FLJ26216/MGC1584/VIL2
Rabbit
Affinity purification
RUO
7430
Human, Mouse
Liquid
Immunohistochemistry (PFA fixed), Western Blot
1 mg/mL
Rabbit polyclonal antibody raised against synthetic phosphopeptide of EZR.
In PBS, 150mM NaCl, pH 7.4 (0.02% sodium azide, 50% glycerol).
P15311
EZR
Synthetic phosphopeptide corresponding to residues surrounding T353 of human EZR.
100 μg
Primary
This antibody is specific to EZR only when phosphorylated at T353.
Store at 4°C for three months. For long term storage store at -20°C.
Aliquot to avoid repeated freezing and thawing.
Product Suggestions

Product Suggestions

Videos
SDS
Documents

Documents

Certificates
Promotions

Promotions

Product Content Correction

Your input is important to us. Please complete this form to provide feedback related to the content on this product.

Product Title

By clicking Submit, you acknowledge that you may be contacted by Fisher Scientific in regards to the feedback you have provided in this form. We will not share your information for any other purposes. All contact information provided shall also be maintained in accordance with our Privacy Policy.

Thank You! Your feedback has been submitted. Fisher Scientific is always working to improve our content for you. We appreciate your feedback.

For Research Use Only