missing translation for 'onlineSavingsMsg'
Learn More

ELK1 Rabbit anti-Human, Mouse, Rat, Polyclonal Antibody, Abnova™

Rabbit polyclonal antibody raised against synthetic peptide of ELK1.

Brand:  Abnova PAB18471.100ug

Product Code. 16132980

  • £349.00 / 100µg

Please to purchase this item. Need a web account? Register with us today!

This item is not returnable. View return policy

Description

Description

This gene is a member of the Ets family of transcription factors and of the ternary complex factor (TCF) subfamily. Proteins of the TCF subfamily form a ternary complex by binding to the the serum response factor and the serum reponse element in the promoter of the c-fos proto-oncogene. The protein encoded by this gene is a nuclear target for the ras-raf-MAPK signaling cascade. Alternatively spliced transcript variants encoding the same protein have been found for this gene. [provided by RefSeq

Specifications

Specifications

ELK1
Polyclonal
Unconjugated
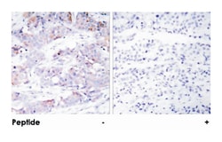
Immunohistochemistry (1:50-1:100) ELISA (1:20000) The optimal working dilution should be determined by the end user.
ELK1
ELK1
A synthetic peptide corresponding to residues surrounding T417 of human ELK1.
100 μg
Primary
This antibody is specific to ELK1 around T417.
Store at -20°C.
Aliquot to avoid repeated freezing and thawing.
ELISA, Immunohistochemistry (PFA fixed)
1 mg/mL
Rabbit polyclonal antibody raised against synthetic peptide of ELK1.
In PBS, 150mM NaCl, pH 7.4 (50% glycerol, 0.02% sodium azide)
P19419
Rabbit
Affinity purification
RUO
2002
Human, Mouse, Rat
Liquid
Product Suggestions

Product Suggestions

Videos
SDS
Documents

Documents

Certificates
Promotions

Promotions

Product Content Correction

Your input is important to us. Please complete this form to provide feedback related to the content on this product.

Product Title

By clicking Submit, you acknowledge that you may be contacted by Fisher Scientific in regards to the feedback you have provided in this form. We will not share your information for any other purposes. All contact information provided shall also be maintained in accordance with our Privacy Policy.

Thank You! Your feedback has been submitted. Fisher Scientific is always working to improve our content for you. We appreciate your feedback.

For Research Use Only