missing translation for 'onlineSavingsMsg'
Learn More

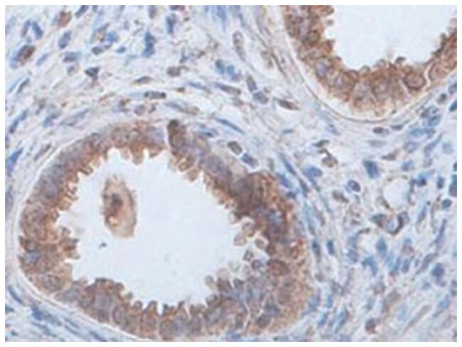
ECH1, Rabbit, Polyclonal Antibody, Abnova™

Rabbit polyclonal antibody raised against partial recombinant ECH1.

Brand:  Abnova PAB18861.100ug

Product Code. 16013477

  • £349.00 / 100µg

Please to purchase this item. Need a web account? Register with us today!

This item is not returnable. View return policy

Description

Description

This gene encodes a member of the hydratase/isomerase superfamily. The gene product shows high sequence similarity to enoyl-coenzyme A (CoA) hydratases of several species, particularly within a conserved domain characteristic of these proteins. The encoded protein, which contains a C-terminal peroxisomal targeting sequence, localizes to the peroxisome. The rat ortholog, which localizes to the matrix of both the peroxisome and mitochondria, can isomerize 3-trans,5-cis-dienoyl-CoA to 2-trans,4-trans-dienoyl-CoA, indicating that it is a delta3,5-delta2,4-dienoyl-CoA isomerase. This enzyme functions in the auxiliary step of the fatty acid beta-oxidation pathway. Expression of the rat gene is induced by peroxisome proliferators. [provided by RefSeq

Specifications

Specifications

ECH1
Polyclonal
Rabbit polyclonal antibody raised against partial recombinant ECH1.
In buffer containing 0.02% sodium azide
NM_001398
ECH1
Recombinant protein corresponding to amino acids 145-325 of human ECH1.
RUO
1891
Store at 4°C for three months. For long term storage store at -20°C.
Aliquot to avoid repeated freezing and thawing.
ELISA, Immunohistochemistry (PFA fixed), Western Blot
Unconjugated
ELISA (1:10000-1:80000) Western Blot (1:200-1:1000) Immunohistochemistry (1:50-1:200) The optimal working dilution should be determined by the end user.
ECH1
HPXEL
Rabbit
100 μg
Primary
Human
Liquid
Product Suggestions

Product Suggestions

Videos
SDS
Documents

Documents

Certificates
Promotions

Promotions

Product Content Correction

Your input is important to us. Please complete this form to provide feedback related to the content on this product.

Product Title

By clicking Submit, you acknowledge that you may be contacted by Fisher Scientific in regards to the feedback you have provided in this form. We will not share your information for any other purposes. All contact information provided shall also be maintained in accordance with our Privacy Policy.

Thank You! Your feedback has been submitted. Fisher Scientific is always working to improve our content for you. We appreciate your feedback.

For Research Use Only