missing translation for 'onlineSavingsMsg'
Learn More

CORO7, Rabbit, Polyclonal Antibody, Abnova™

Rabbit polyclonal antibody raised against synthetic peptide of CORO7.

Brand:  Abnova PAB25716.100ug

Product Code. 16015897

  • £535.00 / 100µg

Please to purchase this item. Need a web account? Register with us today!

This item is not returnable. View return policy

Description

Description

Coronins, such as CORO7, constitute an evolutionarily conserved family of WD-repeat actin-binding proteins. CORO7 plays a role in Golgi complex morphology and function (Rybakin et al., 2004, 2006 [PubMed 15327992] [PubMed 16905771]).[supplied by OMIM

Specifications

Specifications

CORO7
Polyclonal
Unconjugated
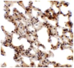
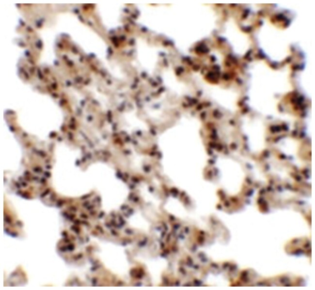
Western Blot (1-2 ug/mL) Immunohistochemistry (2.5 ug/mL) The optimal working dilution should be determined by the end user.
CORO7
0610011B16Rik/CRN7/FLJ22021/FLJ44188/POD1
Rabbit
Peptide affinity purification
RUO
79585
Human, Mouse, Rat
Liquid
ELISA, Immunohistochemistry, Western Blot
1 mg/mL
Rabbit polyclonal antibody raised against synthetic peptide of CORO7.
In PBS (0.02% sodium azide)
NP_078811
CORO7
A synthetic peptide corresponding to 17 amino acids at C-terminus of human CORO7.
100 μg
Primary
Multiple isoforms of CORO7 are known to exist.
Store at 4°C for three months. For long term storage store at -20°C.
Aliquot to avoid repeated freezing and thawing.
IgG
Product Suggestions

Product Suggestions

Videos
SDS
Documents

Documents

Certificates
Promotions

Promotions

Product Content Correction

Your input is important to us. Please complete this form to provide feedback related to the content on this product.

Product Title

By clicking Submit, you acknowledge that you may be contacted by Fisher Scientific in regards to the feedback you have provided in this form. We will not share your information for any other purposes. All contact information provided shall also be maintained in accordance with our Privacy Policy.

Thank You! Your feedback has been submitted. Fisher Scientific is always working to improve our content for you. We appreciate your feedback.

For Research Use Only