missing translation for 'onlineSavingsMsg'
Learn More

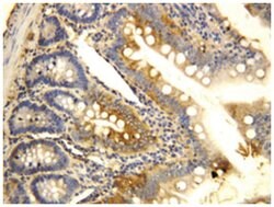
CCR6 Rabbit anti-Human, Mouse, Rat, Polyclonal Antibody, Abnova™

Rabbit polyclonal antibody raised against synthetic peptide of CCR6.

Brand:  Abnova PAB12270.100ug

Product Code. 16283250

  • £432.00 / 100µg

Please to purchase this item. Need a web account? Register with us today!

This item is not returnable. View return policy

Description

Description

This gene encodes a member of the beta chemokine receptor family, which is predicted to be a seven transmembrane protein similar to G protein-coupled receptors. The gene is preferentially expressed by immature dendritic cells and memory T cells. The ligand of this receptor is macrophage inflammatory protein 3 alpha (MIP-3 alpha). This receptor has been shown to be important for B-lineage maturation and antigen-driven B-cell differentiation, and it may regulate the migration and recruitment of dentritic and T cells during inflammatory and immunological responses. Alternatively spliced transcript variants that encode the same protein have been described for this gene. [provided by RefSeq

Specifications

Specifications

CCR6
Polyclonal
Rabbit polyclonal antibody raised against synthetic peptide of CCR6.
Lyophilized from 0.9mg NaCl, 0.2mg Na2HPO4 (5mg BSA, 0.05mg sodium azide, 0.05mg Thimerosal)
BN-1/CD196/CKR-L3/CKR6/CKRL3/CMKBR6/DCR2/DRY-6/GPR-CY4/GPR29/GPRCY4/STRL22
Rabbit
Affinity purification
RUO
1235
Human, Mouse, Rat
Lyophilized
Immunohistochemistry (PFA fixed), Western Blot
Unconjugated
Western Blot (0.75 ug/mL) Immunohistochemistry (Formalin/PFA-fixed paraffin-embedded sections) (0.5-1 ug/mL) The optimal working dilution should be determined by the end user.
CCR6
CCR6
A synthetic peptide corresponding to amino acids at N-terminus of human CCR6.
100 μg
Primary
Identical to the related rat and mouse sequence.
Store at -20°C on dry atmosphere. After reconstitution with 200μL of deionized water and concentration will be 500μ/mL store at -20°C or lower. Aliquot to avoid repeated freezing and thawing.
IgG
Product Suggestions

Product Suggestions

Videos
SDS
Documents

Documents

Certificates
Promotions

Promotions

Product Content Correction

Your input is important to us. Please complete this form to provide feedback related to the content on this product.

Product Title

By clicking Submit, you acknowledge that you may be contacted by Fisher Scientific in regards to the feedback you have provided in this form. We will not share your information for any other purposes. All contact information provided shall also be maintained in accordance with our Privacy Policy.

Thank You! Your feedback has been submitted. Fisher Scientific is always working to improve our content for you. We appreciate your feedback.

For Research Use Only