missing translation for 'onlineSavingsMsg'
Learn More

C5AR1 Rabbit anti-Human, Polyclonal Antibody, Abnova™

Rabbit polyclonal antibody raised against synthetic peptide of C5AR1.

Brand:  Abnova PAB26140.50ug

Product Code. 16056327

  • £535.00 / 50µg

Please to purchase this item. Need a web account? Register with us today!

This item is not returnable. View return policy

Description

Description

Specifications

Specifications

C5AR1
Polyclonal
Rabbit polyclonal antibody raised against synthetic peptide of C5AR1.
In PBS (0.09% sodium azide)
P21730
C5AR1
A synthetic peptide corresponding to 18 amino acids at N-terminus of human C5AR1.
50 μg
Primary
BLAST analysis of the peptide immunogen showed no homology with other human proteins.
Store at 4°C. For long term storage store at -80°C.
Aliquot to avoid repeated freezing and thawing.
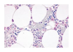
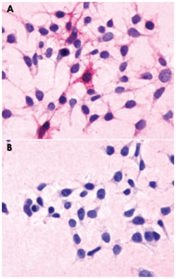
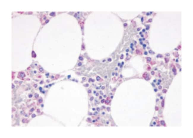
Immunocytochemistry, Immunohistochemistry (PFA fixed)
Unconjugated
Immunohistochemistry (Formalin/PFA-fixed paraffin-embedded sections) (4-36 ug/mL) The optimal working dilution should be determined by the end user.
C5AR1
C5A/C5AR/C5R1/CD88
Rabbit
Immunoaffinity chromatography
RUO
728
Human
Liquid
Product Suggestions

Product Suggestions

Videos
SDS
Documents

Documents

Certificates
Promotions

Promotions

Product Content Correction

Your input is important to us. Please complete this form to provide feedback related to the content on this product.

Product Title

By clicking Submit, you acknowledge that you may be contacted by Fisher Scientific in regards to the feedback you have provided in this form. We will not share your information for any other purposes. All contact information provided shall also be maintained in accordance with our Privacy Policy.

Thank You! Your feedback has been submitted. Fisher Scientific is always working to improve our content for you. We appreciate your feedback.

For Research Use Only