missing translation for 'onlineSavingsMsg'
Learn More

BAK1 Rabbit anti-Human, Mouse, Polyclonal Antibody, Abnova™

Rabbit polyclonal antibody raised against synthetic peptide of BAK1.

Brand:  Abnova PAB27022.100uL

Product Code. 16017207

  • £432.00 / 100µL

Please to purchase this item. Need a web account? Register with us today!

This item is not returnable. View return policy

Description

Description

The protein encoded by this gene belongs to the BCL2 protein family. BCL2 family members form oligomers or heterodimers and act as anti- or pro-apoptotic regulators that are involved in a wide variety of cellular activities. This protein localizes to mitochondria, and functions to induce apoptosis. It interacts with and accelerates the opening of the mitochondrial voltage-dependent anion channel, which leads to a loss in membrane potential and the release of cytochrome c. This protein also interacts with the tumor suppressor P53 after exposure to cell stress. [provided by RefSeq

Specifications

Specifications

BAK1
Polyclonal
Unconjugated
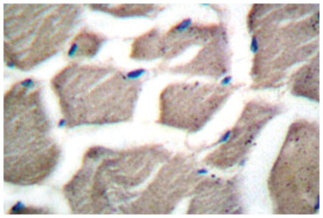
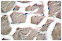
Western Blot (1:500-1:1000) Immunohistochemistry (1:50-1:200) Immunofluorescence (1:50-1:200) The optimal working dilution should be determined by the end user.
BAK1
BAK/BAK-LIKE/BCL2L7/CDN1/MGC117255/MGC3887
Rabbit
Antigen affinity purification
RUO
578
Human, Mouse
Liquid
ELISA, Immunohistochemistry (PFA fixed), Western Blot
1 mg/mL
Rabbit polyclonal antibody raised against synthetic peptide of BAK1.
In PBS, pH 7.2 (0.05% sodium azide)
Q16611
BAK1
A synthetic peptide corresponding to human BAK1.
100 μL
Primary
BAK1 polyclonal antibody detects endogenous levels of BAK1 protein.
Store at 4°C. For long term storage store at -20°C.
Aliquot to avoid repeated freezing and thawing.
Product Suggestions

Product Suggestions

Videos
SDS
Documents

Documents

Certificates
Promotions

Promotions

Product Content Correction

Your input is important to us. Please complete this form to provide feedback related to the content on this product.

Product Title

By clicking Submit, you acknowledge that you may be contacted by Fisher Scientific in regards to the feedback you have provided in this form. We will not share your information for any other purposes. All contact information provided shall also be maintained in accordance with our Privacy Policy.

Thank You! Your feedback has been submitted. Fisher Scientific is always working to improve our content for you. We appreciate your feedback.

For Research Use Only