missing translation for 'onlineSavingsMsg'
Learn More

BAI1 Rabbit anti-Human, Mouse, Polyclonal Antibody, Abnova™

Rabbit polyclonal antibody raised against synthetic peptide of BAI1.

Brand:  Abnova PAB26954.100uL

Product Code. 16097127

  • £432.00 / 100µL

Please to purchase this item. Need a web account? Register with us today!

This item is not returnable. View return policy

Description

Description

Angiogenesis is controlled by a local balance between stimulators and inhibitors of new vessel growth and is suppressed under normal physiologic conditions. Angiogenesis has been shown to be essential for growth and metastasis of solid tumors. In order to obtain blood supply for their growth, tumor cells are potently angiogenic and attract new vessels as results of increased secretion of inducers and decreased production of endogenous negative regulators. BAI1 contains at least one 'functional' p53-binding site within an intron, and its expression has been shown to be induced by wildtype p53. There are two other brain-specific angiogenesis inhibitor genes, designated BAI2 and BAI3 which along with BAI1 have similar tissue specificities and structures, however only BAI1 is transcriptionally regulated by p53. BAI1 is postulated to be a member of the secretin receptor family, an inhibitor of angiogenesis and a growth suppressor of glioblastomas [provided by RefSeq]

Specifications

Specifications

BAI1
Polyclonal
Unconjugated
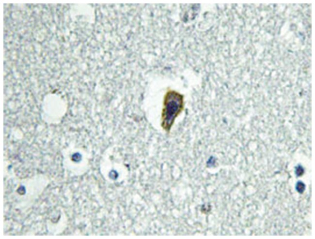
Western Blot (1:500-1:1000) Immunohistochemistry (1:50-1:200) Immunofluorescence (1:50-1:200) The optimal working dilution should be determined by the end user.
BAI1
FLJ41988
Rabbit
Affinity purification
RUO
575
Human, Mouse
Liquid
Immunofluorescence, Immunohistochemistry (PFA fixed), Western Blot
1 mg/mL
Rabbit polyclonal antibody raised against synthetic peptide of BAI1.
In PBS, pH 7.2 (0.05% sodium azide)
O14514
BAI1
A synthetic peptide corresponding to human BAI1.
100 μL
Primary
BAI1 polyclonal antibody detects endogenous levels of BAI1 protein.
Store at 4°C. For long term storage store at -20°C.
Aliquot to avoid repeated freezing and thawing.
Product Suggestions

Product Suggestions

Videos
SDS
Documents

Documents

Certificates
Promotions

Promotions

Product Content Correction

Your input is important to us. Please complete this form to provide feedback related to the content on this product.

Product Title

By clicking Submit, you acknowledge that you may be contacted by Fisher Scientific in regards to the feedback you have provided in this form. We will not share your information for any other purposes. All contact information provided shall also be maintained in accordance with our Privacy Policy.

Thank You! Your feedback has been submitted. Fisher Scientific is always working to improve our content for you. We appreciate your feedback.

For Research Use Only