missing translation for 'onlineSavingsMsg'
Learn More

ATP5D Rabbit anti-Human, Mouse, Rat, Polyclonal Antibody, Abnova™

Rabbit polyclonal antibody raised against synthetic peptide of ATP5D.

Brand:  Abnova PAB17614.100ug

Product Code. 16192390

  • £349.00 / 100µg

Please to purchase this item. Need a web account? Register with us today!

This item is not returnable. View return policy

Description

Description

This gene encodes a subunit of mitochondrial ATP synthase. Mitochondrial ATP synthase catalyzes ATP synthesis, utilizing an electrochemical gradient of protons across the inner membrane during oxidative phosphorylation. ATP synthase is composed of two linked multi-subunit complexes: the soluble catalytic core, F1, and the membrane-spanning component, Fo, comprising the proton channel. The catalytic portion of mitochondrial ATP synthase consists of 5 different subunits (alpha, beta, gamma, delta, and epsilon) assembled with a stoichiometry of 3 alpha, 3 beta, and a single representative of the other 3. The proton channel consists of three main subunits (a, b, c). This gene encodes the delta subunit of the catalytic core. Alternatively spliced transcript variants encoding the same isoform have been identified. [provided by RefSeq

Specifications

Specifications

ATP5D
Polyclonal
Rabbit polyclonal antibody raised against synthetic peptide of ATP5D.
In PBS, pH 7.4 (150mM NaCl, 0.02% sodium azide, 50% glycerol)
P30049
Rabbit
100 μg
Primary
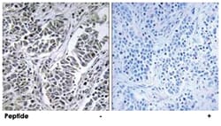
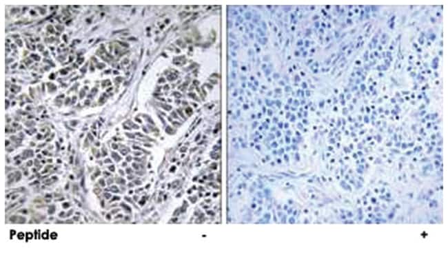
This antibody detects endogenous levels of total ATP5D protein.
Store at -20°C.
Aliquot to avoid repeated freezing and thawing.
ELISA, Immunofluorescence, Immunohistochemistry (PFA fixed)
Unconjugated
Immunohistochemistry (1:50-1:100) Immunofluorescence (1:500-1:1000) ELISA (1:40000) The optimal working dilution should be determined by the end user.
ATP5D
ATP5D
A synthetic peptide corresponding to internal of human ATP5D.
RUO
513
Human, Mouse, Rat
Liquid
Product Suggestions

Product Suggestions

Videos
SDS
Documents

Documents

Certificates
Promotions

Promotions

Product Content Correction

Your input is important to us. Please complete this form to provide feedback related to the content on this product.

Product Title

By clicking Submit, you acknowledge that you may be contacted by Fisher Scientific in regards to the feedback you have provided in this form. We will not share your information for any other purposes. All contact information provided shall also be maintained in accordance with our Privacy Policy.

Thank You! Your feedback has been submitted. Fisher Scientific is always working to improve our content for you. We appreciate your feedback.

For Research Use Only