missing translation for 'onlineSavingsMsg'
Learn More

ATG9A Rabbit anti-Human, Mouse, Polyclonal Antibody, Abnova™

Rabbit polyclonal antibody raised against synthetic peptide of ATG9A.

Brand:  Abnova PAB12481.100uL

Product Code. 16099866

  • £535.00 / 100µL

Please to purchase this item. Need a web account? Register with us today!

This item is not returnable. View return policy

Description

Description

Specifications

Specifications

ATG9A
Polyclonal
Rabbit polyclonal antibody raised against synthetic peptide of ATG9A.
In PBS (30% glycerol, 0.09% sodium azide)
Q7Z3C6
ATG9A
A synthetic peptide corresponding to amino acids 750-839 of human ATG9A.
RUO
79065
Store at -20°C or -80°C.
Aliquot to avoid repeated freezing and thawing.
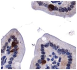
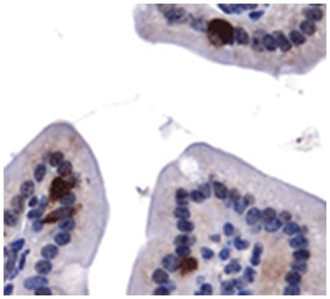
Immunohistochemistry (PFA fixed), Western Blot
Unconjugated
Immunohistochemistry (Formalin/PFA-fixed paraffin-embedded sections) (1:100-1:250) Western Blot (2 ug/mL) The optimal working dilution should be determined by the end user.
ATG9A
APG9L1/MGD3208
Rabbit
100 μL
Primary
Bovine, Chicken, Human, Mouse, Primate, Rat
Liquid
Product Suggestions

Product Suggestions

Videos
SDS
Documents

Documents

Certificates
Promotions

Promotions

Product Content Correction

Your input is important to us. Please complete this form to provide feedback related to the content on this product.

Product Title

By clicking Submit, you acknowledge that you may be contacted by Fisher Scientific in regards to the feedback you have provided in this form. We will not share your information for any other purposes. All contact information provided shall also be maintained in accordance with our Privacy Policy.

Thank You! Your feedback has been submitted. Fisher Scientific is always working to improve our content for you. We appreciate your feedback.

For Research Use Only