missing translation for 'onlineSavingsMsg'
Learn More

ARHGDIA, Rabbit, Polyclonal Antibody, Abnova™

Rabbit polyclonal antibody raised against synthetic peptide of ARHGDIA.

Brand:  Abnova PAB18433.100ug

Product Code. 16172940

  • £349.00 / 100µg

Please to purchase this item. Need a web account? Register with us today!

This item is not returnable. View return policy

Description

Description

Aplysia Ras-related homologs (ARHs), also called Rho genes, belong to the RAS gene superfamily encoding small guanine nucleotide exchange (GTP/GDP) factors. The ARH proteins may be kept in the inactive, GDP-bound state by interaction with GDP dissociation inhibitors, such as ARHGDIA (Leffers et al., 1993 [PubMed 8262133]).[supplied by OMIM

Specifications

Specifications

ARHGDIA
Polyclonal
Unconjugated
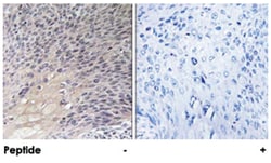
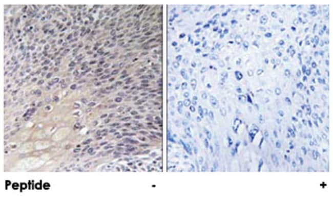
Immunohistochemistry (1:50-1:100) ELISA (1:10000) The optimal working dilution should be determined by the end user.
ARHGDIA
GDIA1/MGC117248/RHOGDI/RHOGDI-1
Rabbit
Affinity purification
RUO
396
Human, Mouse, Rat
Liquid
ELISA, Immunohistochemistry (PFA fixed)
1 mg/mL
Rabbit polyclonal antibody raised against synthetic peptide of ARHGDIA.
In PBS, 150mM NaCl, pH 7.4 (50% glycerol, 0.02% sodium azide)
P52565
ARHGDIA
A synthetic peptide corresponding to human ARHGDIA.
100 μg
Primary
This antibody is specific to ARHGDIA.
Store at -20°C.
Aliquot to avoid repeated freezing and thawing.
Product Suggestions

Product Suggestions

Videos
SDS
Documents

Documents

Certificates
Promotions

Promotions

Product Content Correction

Your input is important to us. Please complete this form to provide feedback related to the content on this product.

Product Title

By clicking Submit, you acknowledge that you may be contacted by Fisher Scientific in regards to the feedback you have provided in this form. We will not share your information for any other purposes. All contact information provided shall also be maintained in accordance with our Privacy Policy.

Thank You! Your feedback has been submitted. Fisher Scientific is always working to improve our content for you. We appreciate your feedback.

For Research Use Only