missing translation for 'onlineSavingsMsg'
Learn More

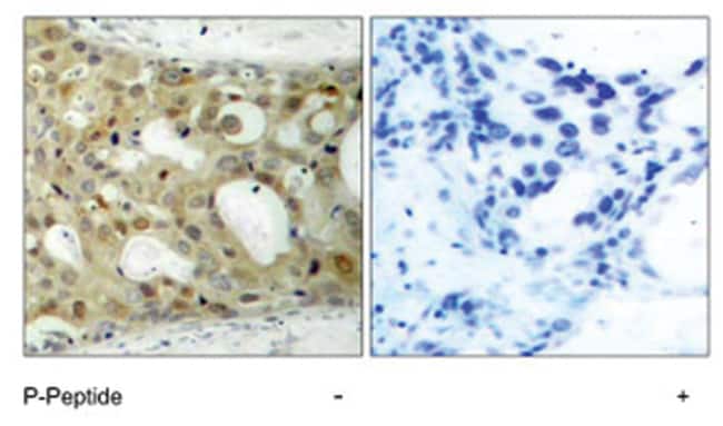
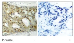
AR (phospho S650), Rabbit anti-Human, Polyclonal Antibody, Abnova™

Rabbit polyclonal antibody raised against synthetic phosphopeptide of AR.

Brand:  Abnova PAB7733.100uL

Product Code. 16294470

  • £349.00 / 100µL

Please to purchase this item. Need a web account? Register with us today!

This item is not returnable. View return policy

Description

Description

The androgen receptor gene is more than 90kb long and codes for a protein that has 3 major functional domains: the N-terminal domain, DNA-binding domain, and androgen-binding domain. The protein functions as a steroid-hormone activated transcription factor. Upon binding the hormone ligand, the receptor dissociates from accessory proteins, translocates into the nucleus, dimerizes, and then stimulates transcription of androgen responsive genes. This gene contains 2 polymorphic trinucleotide repeat segments that encode polyglutamine and polyglycine tracts in the N-terminal transactivation domain of its protein. Expansion of the polyglutamine tract causes spinal bulbar muscular atrophy (Kennedy disease). Mutations in this gene are also associated with complete androgen insensitivity (CAIS). Two alternatively spliced variants encoding distinct isoforms have been described. [provided by RefSeq

Specifications

Specifications

AR
Polyclonal
Unconjugated
Immunohistochemistry (1:50-1:100) The optimal working dilution should be determined by the end user.
AR
AIS/DHTR/HUMARA/KD/NR3C4/SBMA/SMAX1/TFM
Rabbit
Immunoaffinity purification
RUO
367
Store at -20°C.
Aliquot to avoid repeated freezing and thawing.
Immunohistochemistry (PFA fixed)
1 mg/mL
Rabbit polyclonal antibody raised against synthetic phosphopeptide of AR.
In PBS (without mg2+ and Ca2+), 150mM NaCl, pH 7.4 (50% glycerol, 0.02% sodium azide)
P10275
AR
Synthetic phosphopeptide corresponding to residues surrounding S650 of human AR.
100 μL
Primary
Human
Liquid
Product Suggestions

Product Suggestions

Videos
SDS
Documents

Documents

Certificates
Promotions

Promotions

Product Content Correction

Your input is important to us. Please complete this form to provide feedback related to the content on this product.

Product Title

By clicking Submit, you acknowledge that you may be contacted by Fisher Scientific in regards to the feedback you have provided in this form. We will not share your information for any other purposes. All contact information provided shall also be maintained in accordance with our Privacy Policy.

Thank You! Your feedback has been submitted. Fisher Scientific is always working to improve our content for you. We appreciate your feedback.

For Research Use Only