missing translation for 'onlineSavingsMsg'
Learn More

AKT1/AKT2/AKT3 Rabbit anti-Human, Mouse, Rat, Polyclonal Antibody, Abnova™

Rabbit polyclonal antibody raised against synthetic peptide of AKT1/AKT2/AKT3.

Brand:  Abnova PAB26831.100ug

Product Code. 16047007

  • £332.00 / 100µg

Please to purchase this item. Need a web account? Register with us today!

This item is not returnable. View return policy

Description

Description

Sequence: P-E-Yp-L-A
Specifications

Specifications

AKT1/AKT2/AKT3
Polyclonal
Unconjugated
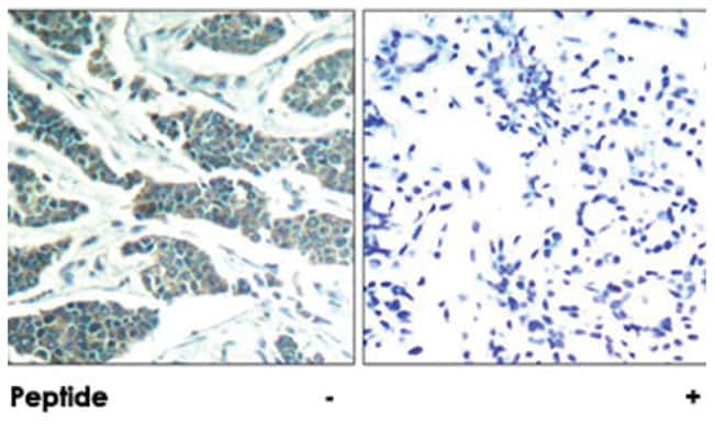
Immunohistochemistry (1:50-1:100) The optimal working dilution should be determined by the end user.
P31749 (Gene ID : 207);P31751 (Gene ID : 208);Q9Y243 (Gene ID : 1000)
AKT1
A synthetic peptide corresponding to residues surrounding Y315/Y316/Y312 of human AKT1/AKT2/AKT3.
100 μg
Primary
Human, Mouse, Rat
Liquid
Immunohistochemistry (PFA fixed)
1 mg/mL
Rabbit polyclonal antibody raised against synthetic peptide of AKT1/AKT2/AKT3.
In PBS, 150mM NaCl, pH 7.4 (50% glycerol, 0.02% sodium azide)
AKT/MGC99656/PKB/PKB-ALPHA/PRKBA/RAC/RAC-ALPHA
Rabbit
Affinity chromatography
RUO
207/208/10000
Store at -20°C.
Aliquot to avoid repeated freezing and thawing.
Product Suggestions

Product Suggestions

Videos
SDS
Documents

Documents

Product Certifications
Promotions

Promotions

Product Content Correction

Your input is important to us. Please complete this form to provide feedback related to the content on this product.

Product Title

By clicking Submit, you acknowledge that you may be contacted by Fisher Scientific in regards to the feedback you have provided in this form. We will not share your information for any other purposes. All contact information provided shall also be maintained in accordance with our Privacy Policy.

Thank You! Your feedback has been submitted. Fisher Scientific is always working to improve our content for you. We appreciate your feedback.

For Research Use Only