missing translation for 'onlineSavingsMsg'
Learn More

Ahsa1/Ahsa2, Rabbit, Polyclonal Antibody, Abnova™

Rabbit polyclonal antibody raised against Ahsa1/Ahsa2.

Brand:  Abnova PAB15426.100uL

Product Code. 16243570

  • £634.00 / 100µL

Please to purchase this item. Need a web account? Register with us today!

This item is not returnable. View return policy

Description

Description

Specifications

Specifications

Ahsa1/Ahsa2
Polyclonal
Rabbit polyclonal antibody raised against Ahsa1/Ahsa2.
In antiserum
Ahsa1
Mouse Ahsa1/Ahsa2.
RUO
217737/268390
Human, Mouse, Rat
Liquid
ELISA, Immunocytochemistry, Immunohistochemistry, Immunoprecipitation, Western Blot
Unconjugated
Western Blot (1:1000) Immunohistochemistry (1:10000) The optimal working dilution should be determined by the end user.
BC023857/MGC36589/MGC36618/p38
Rabbit
100 μL
Primary
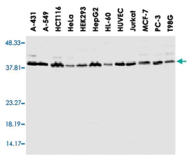
Detects ∼ 38KDa.
Store at -20°C.
Aliquot to avoid repeated freezing and thawing.
Product Suggestions

Product Suggestions

Videos
SDS
Documents

Documents

Certificates
Promotions

Promotions

Product Content Correction

Your input is important to us. Please complete this form to provide feedback related to the content on this product.

Product Title

By clicking Submit, you acknowledge that you may be contacted by Fisher Scientific in regards to the feedback you have provided in this form. We will not share your information for any other purposes. All contact information provided shall also be maintained in accordance with our Privacy Policy.

Thank You! Your feedback has been submitted. Fisher Scientific is always working to improve our content for you. We appreciate your feedback.

For Research Use Only