missing translation for 'onlineSavingsMsg'
Learn More

ABL1 (phospho Y412), Rabbit anti-Human, Mouse, Rat, Polyclonal Antibody, Abnova™

Rabbit polyclonal antibody raised against synthetic phosphopeptide of ABL1.

Brand:  Abnova PAB16947.100ug

Product Code. 16012497

  • £349.00 / 100µg

Please to purchase this item. Need a web account? Register with us today!

This item is not returnable. View return policy

Description

Description

The ABL1 protooncogene encodes a cytoplasmic and nuclear protein tyrosine kinase that has been implicated in processes of cell differentiation, cell division, cell adhesion, and stress response. Activity of c-Abl protein is negatively regulated by its SH3 domain, and deletion of the SH3 domain turns ABL1 into an oncogene. The t(9;22) translocation results in the head-to-tail fusion of the BCR (MIM:151410) and ABL1 genes present in many cases of chronic myelogeneous leukemia. The DNA-binding activity of the ubiquitously expressed ABL1 tyrosine kinase is regulated by CDC2-mediated phosphorylation, suggesting a cell cycle function for ABL1. The ABL1 gene is expressed as either a 6- or 7kb mRNA transcript, with alternatively spliced first exons spliced to the common exons 2-11. [provided by RefSeq

Specifications

Specifications

ABL1
Polyclonal
Rabbit polyclonal antibody raised against synthetic phosphopeptide of ABL1.
In 20mM PBS, 0.15M NaCl, pH 7.2 (0.01% sodium azide)
P00519
ABL1
Synthetic phosphopeptide corresponding to residues surrounding Y412 of human ABL1.
RUO
25
Human, Mouse, Rat
Liquid
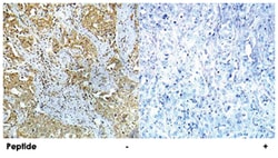
ELISA, Immunohistochemistry (PFA fixed), Western Blot
Unconjugated
Western Blot (1:500-1:1000) Immunohistochemistry (1:50-1:100) ELISA (1:4000) The optimal working dilution should be determined by the end user.
ABL1
ABL/JTK7/bcr/abl/c-ABL/p150/v-abl
Rabbit
100 μg
Primary
This antibody detects endogenous levels of ABL1 only when phosphorylated at tyrosine 412.
Store at 4°C for three months. For long term storage store at -20°C.
Aliquot to avoid repeated freezing and thawing.
Product Suggestions

Product Suggestions

Videos
SDS
Documents

Documents

Certificates
Promotions

Promotions

Product Content Correction

Your input is important to us. Please complete this form to provide feedback related to the content on this product.

Product Title

By clicking Submit, you acknowledge that you may be contacted by Fisher Scientific in regards to the feedback you have provided in this form. We will not share your information for any other purposes. All contact information provided shall also be maintained in accordance with our Privacy Policy.

Thank You! Your feedback has been submitted. Fisher Scientific is always working to improve our content for you. We appreciate your feedback.

For Research Use Only