missing translation for 'onlineSavingsMsg'
Learn More
Learn More
Description
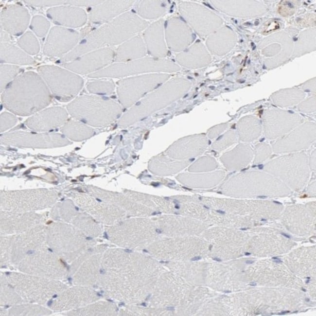
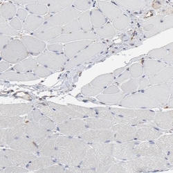
RAB9A Polyclonal specifically detects RAB9A in Human, Mouse, Rat samples. It is validated for Western Blot, Immunohistochemistry, Immunohistochemistry-Paraffin.
Specifications
Specifications
| Antigen | RAB9A |
| Applications | Western Blot, Immunohistochemistry, Immunohistochemistry (Paraffin) |
| Classification | Polyclonal |
| Conjugate | Unconjugated |
| Dilution | Western Blot 0.4 ug/ml, Immunohistochemistry, Immunohistochemistry-Paraffin 1:200 - 1:500 |
| Formulation | PBS (pH 7.2) and 40% Glycerol with 0.02% Sodium Azide |
| Gene Alias | RAB9A, member RAS oncogene family, RAB9RAB9, member RAS oncogene family, ras-related protein Rab-9A |
| Gene Symbols | RAB9A |
| Host Species | Rabbit |
| Immunogen | This antibody was developed against Recombinant Protein corresponding to amino acids:SDCCLLTFSVDDSQSFQNLSNWKKEFIYYADVKEPESFPFVILGNKIDISERQVSTEEAQAWCRDNGDYPYFETSAKDATNVAAAFEEAVRRVLATEDRSDHLIQTDTVNLHRKP |
| Show More |
For Research Use Only
Product Title
By clicking Submit, you acknowledge that you may be contacted by Fisher Scientific in regards to the feedback you have provided in this form. We will not share your information for any other purposes. All contact information provided shall also be maintained in accordance with our Privacy Policy.
Spot an opportunity for improvement?