missing translation for 'onlineSavingsMsg'
Learn More
Learn More
Invitrogen™ RAB10 Polyclonal Antibody

Rabbit Polyclonal Antibody
Brand: Invitrogen™ PA5102855
This item is not returnable.
View return policy
Description
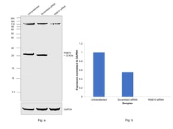
Antibody detects endogenous levels of total Rab10.
RAB10 belongs to the RAS superfamily of small GTPases. RAB proteins localize to exocytic and endocytic compartments and regulate intracellular vesicle trafficking.
Specifications
| RAB10 | |
| Polyclonal | |
| Unconjugated | |
| RAB10 | |
| Ac1075; AW107754; GTP-binding protein RAB10; Rab10; RAB10, member RAS oncogene family; ras-related GTP-binding protein; ras-related protein rab10; ras-related protein Rab-10 | |
| Rabbit | |
| Affinity chromatography | |
| RUO | |
| 10890, 50993 | |
| -20°C | |
| Liquid |
| Immunohistochemistry (Paraffin), Western Blot, Immunocytochemistry | |
| 1 mg/mL | |
| PBS with 50% glycerol and 0.02% sodium azide; pH 7.4 | |
| P35281, P61026 | |
| RAB10 | |
| A synthesized peptide derived from human RAB10(Accession P61026), corresponding to amino acid residues I157-C200. | |
| 100 μL | |
| Primary | |
| Human, Rat | |
| Antibody | |
| IgG |
Product Content Correction
Your input is important to us. Please complete this form to provide feedback related to the content on this product.
Product Title
Spot an opportunity for improvement?Share a Content Correction