missing translation for 'onlineSavingsMsg'
Learn More

PTP mu/PTPRM Antibody, Novus Biologicals™

Product Code. 18328844 Shop All Bio Techne Products
Change view
Click to view available options
Quantity:
50 μg
Unit Size:
50µg
1 product options available for selection
Product selection table with 1 available options. Use arrow keys to navigate and Enter or Space to select.
Product Code. Quantity unitSize
18328844 50 μg 50µg
Use arrow keys to navigate between rows. Press Enter or Space to select a product option. 1 options available.
1 options
This item is not returnable. View return policy
Product Code. 18328844 Supplier Novus Biologicals Supplier No. NBP314456

Please to purchase this item. Need a web account? Register with us today!

This item is not returnable. View return policy

Rabbit Polyclonal Antibody

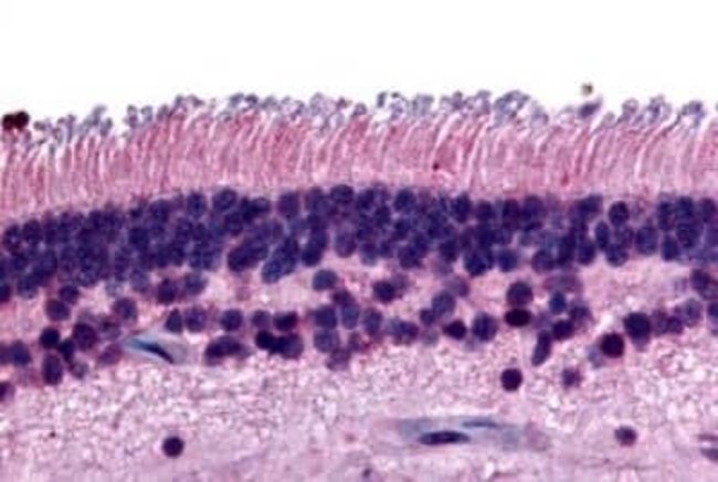
PTP mu/PTPRM Polyclonal antibody specifically detects PTP mu/PTPRM in Human samples. It is validated for Immunohistochemistry, Immunohistochemistry (Paraffin)
TRUSTED_SUSTAINABILITY

Specifications

Antigen PTP mu/PTPRM
Applications Immunohistochemistry, Immunohistochemistry (Paraffin)
Classification Polyclonal
Concentration 1 mg/mL
Conjugate Unconjugated
Dilution Immunohistochemistry, Immunohistochemistry-Paraffin
Formulation PBS
Gene Alias EC 3.1.3.48, hR-PTPu, MGC166994, protein tyrosine phosphatase mu, protein tyrosine phosphatase, receptor type, M, protein tyrosine phosphatase, receptor type, mu polypeptide, Protein-tyrosine phosphatase mu, PTPRL1R-PTP-MU, receptor-type tyrosine-protein phosphatase mu, RPTPM, R-PTP-mu, RPTPU
Host Species Rabbit
Immunogen Synthetic 16 amino acid peptide from internal region of human PTP mu/PTPRM.
Purification Method Immunogen affinity purified
Quantity 50 μg
Regulatory Status RUO
Research Discipline Protein Phosphatase
Primary or Secondary Primary
Gene ID (Entrez) 5797
Target Species Human
Content And Storage Keep as concentrated solution. Aliquot and store at -20°C or below. Avoid multiple freeze-thaw cycles.
Product Type Antibody
Form Purified
Show More Show Less
Product Title
Select an issue

By clicking Submit, you acknowledge that you may be contacted by Fisher Scientific in regards to the feedback you have provided in this form. We will not share your information for any other purposes. All contact information provided shall also be maintained in accordance with our Privacy Policy.