missing translation for 'onlineSavingsMsg'
Learn More
Learn More
Invitrogen™ PSME1 Polyclonal Antibody

Rabbit Polyclonal Antibody
Brand: Invitrogen™ PA5144211
This item is not returnable.
View return policy
Description
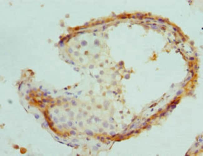
PSME1 Polyclonal Antibody for Western Blot, IHC (P), IP, ELISA
Proteolytic degradation is critical to the maintenance of appropriate levels of short-lived and regulatory proteins as important and diverse as those involved in cellular metabolism, heat shock and stress response, antigen presentation, modulation of cell surface receptors and ion channels, cell cycle regulation, transcription, and signalling factors. The ubiquitin-proteasome pathway deconstructs most proteins in the eukaryotic cell cytosol and nucleus. Others are degraded via the vacuolar pathway which includes endosomes, lysosomes, and the endoplasmic reticulum. The 26S proteasome is an ATP-dependent, multisubunit (approximately 31), barrel-shaped molecular machine with an apparent molecular weight of approximately 2.5 MDa. It consists of a 20S proteolytic core complex which is crowned at one or both ends by 19S regulatory subunit complexes. The 19S regulatory subunits recognize ubiquitinated proteins and play an essential role in unfolding and translocating targets into the lumen of the 20S subunit. An enzymatic cascade is responsible for the attachment of multiple ubiquitin molecules to lysine residues of proteins targeted for degradation. Several genetic diseases are associated with defects in the ubiquitin-proteasome pathway. Some examples of affected proteins include those linked to cystic fibrosis, Angelman's syndrome, and Liddle syndrome.
Specifications
| PSME1 | |
| Polyclonal | |
| Unconjugated | |
| PSME1 | |
| 11S regulator complex subunit alpha; 29-kD MCP activator subunit; activator of multicatalytic protease subunit 1; AW413925; epididymis secretory sperm binding protein Li 129m; HEL-S-129m; I79_008549; IFI5111; IGUP I-5111; interferon gamma up-regulated I-5111 protein; interferon-gamma IEF SSP 5111; interferon-gamma-inducible protein 5111; MGC8628; OTTHUMP00000164702; PA28 alpha subunit; PA28a; PA28alpha; protease (prosome, macropain) 28 subunit, alpha; proteasome (prosome, macropain) 28 subunit, alpha; proteasome (prosome, macropain) activator subunit 1; proteasome (prosome, macropain) activator subunit 1 (PA28 alpha); proteasome activator 28 subunit alpha; Proteasome activator complex subunit 1; proteasome activator subunit 1; Psme1; REGalpha; REG-alpha | |
| Rabbit | |
| Antigen affinity chromatography | |
| RUO | |
| 19186, 5720 | |
| -20°C or -80°C if preferred | |
| Liquid |
| ELISA, Immunohistochemistry (Paraffin), Immunoprecipitation, Western Blot | |
| 0.1 mg/mL | |
| PBS with 50% glycerol and 0.02% sodium azide; pH 7.3 | |
| P97371, Q06323 | |
| PSME1 | |
| Recombinant Human Proteasome activator complex subunit 1 protein (1-249AA). | |
| 100 μL | |
| Primary | |
| Human, Mouse | |
| Antibody | |
| IgG |
Product Content Correction
Your input is important to us. Please complete this form to provide feedback related to the content on this product.
Product Title
Spot an opportunity for improvement?Share a Content Correction