missing translation for 'onlineSavingsMsg'
Learn More
Learn More
Invitrogen™ PSMB4 Polyclonal Antibody

Rabbit Polyclonal Antibody
Brand: Invitrogen™ PA552328
This item is not returnable.
View return policy
Description
Immunogen sequence: VIDEELLGDG HSYSPRAIHS WLTRAMYSRR SKMNPLWNTM VIGGYADGES FLGYVDMLGV AYEAPSLATG YGAYLAQPLL REVLEKQPVL SQTEARDLVE RCMRVLYYRD ARSYNRFQIA TVTEKGVEIE GPLSTETNWD IA Highest antigen sequence identity to the following orthologs: Mouse - 98%, Rat - 96%.
The proteasome is a multicatalytic proteinase complex with a highly ordered ring-shaped 20S core structure. The core structure is composed of 4 rings of 28 non-identical subunits; 2 rings are composed of 7 alpha subunits and 2 rings are composed of 7 beta subunits. Proteasomes are distributed throughout eukaryotic cells at a high concentration and cleave peptides in an ATP/ubiquitin-dependent process in a non-lysosomal pathway. An essential function of a modified proteasome, the immunoproteasome, is the processing of class I MHC peptides. This gene encodes a member of the proteasome B-type family, also known as the T1B family, that is a 20S core beta subunit.
Specifications
| PSMB4 | |
| Polyclonal | |
| Unconjugated | |
| PSMB4 | |
| 26 kDa prosomal protein; HN3; HsBPROS26; HsN3; Lmp3; Low molecular mass protein 3; macropain beta chain; Multicatalytic endopeptidase complex beta chain; PROS26; PROS-26; Pros-27; proteasome (prosome, macropain) subunit, beta type 4; proteasome (prosome, macropain) subunit, beta type, 4; proteasome beta 4 subunit; proteasome beta chain; Proteasome chain 3; proteasome subunit beta 4; proteasome subunit beta type-4; proteasome subunit HsN3; proteasome subunit, beta type, 4; Psmb4; RN3; testis tissue sperm-binding protein Li 79P | |
| Rabbit | |
| Antigen affinity chromatography | |
| RUO | |
| 5692 | |
| Store at 4°C short term. For long term storage, store at -20°C, avoiding freeze/thaw cycles. | |
| Liquid |
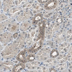
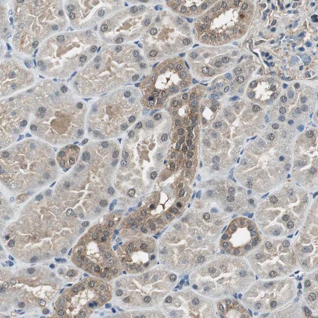
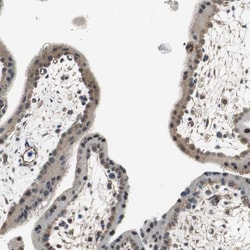
| Immunohistochemistry (Paraffin), Western Blot, Immunocytochemistry | |
| 0.1 mg/mL | |
| PBS with 40% glycerol and 0.02% sodium azide; pH 7.2 | |
| P28070 | |
| PSMB4 | |
| Recombinant protein corresponding to Human PSMB4. Recombinant protein control fragment (Product #RP-89179). | |
| 100 μL | |
| Primary | |
| Human | |
| Antibody | |
| IgG |
Product Content Correction
Your input is important to us. Please complete this form to provide feedback related to the content on this product.
Product Title
Spot an opportunity for improvement?Share a Content Correction