missing translation for 'onlineSavingsMsg'
Learn More
Learn More
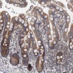
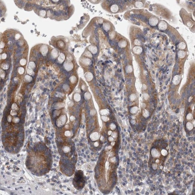
Invitrogen™ PRRC2C Polyclonal Antibody

Rabbit Polyclonal Antibody
Brand: Invitrogen™ PA555257
This item is not returnable.
View return policy
Description
Immunogen sequence: DVRPHHTDAN NQSACFEAPD QKTLSTPQEE RISAVESQPS RKRSVSHGSN HTQKPDEQRS EPSAGIPKVT SRCIDSKEP Highest antigen sequence identity to the following orthologs: Mouse - 68%, Rat - 27%.
Proline-rich coiled-coil 2C (PRRC2C) is proposed to be involved in protein C-terminus binding and contains a conserved BAT2 N-terminus domain.
Specifications
| PRRC2C | |
| Polyclonal | |
| Unconjugated | |
| PRRC2C | |
| BAT2 domain containing 1; BAT2 domain-containing protein 1; BAT2D1; BAT2-iso; BAT2L2; HBV XAg-transactivated protein 2; HBV X-transactivated gene 2 protein; HBxAg transactivated protein 2; HLA-B associated transcript 2-like 2; HLA-B-associated transcript 2-like 2; KIAA1096; proline rich coiled-coil 2C; proline-rich and coiled-coil-containing protein 2C; proline-rich coiled-coil 2C; protein BAT2-like 2; protein PRRC2C; PRRC2C; XTP2 | |
| Rabbit | |
| Antigen affinity chromatography | |
| RUO | |
| 23215 | |
| Store at 4°C short term. For long term storage, store at -20°C, avoiding freeze/thaw cycles. | |
| Liquid |
| Immunohistochemistry (Paraffin), Immunocytochemistry | |
| 0.10 mg/mL | |
| PBS with 40% glycerol and 0.02% sodium azide; pH 7.2 | |
| Q9Y520 | |
| PRRC2C | |
| Recombinant protein corresponding to Human PRRC2C. Recombinant protein control fragment (Product #RP-94125). | |
| 100 μL | |
| Primary | |
| Human | |
| Antibody | |
| IgG |
Product Content Correction
Your input is important to us. Please complete this form to provide feedback related to the content on this product.
Product Title
Spot an opportunity for improvement?Share a Content Correction