missing translation for 'onlineSavingsMsg'
Learn More
Learn More
Invitrogen™ PRP8 Polyclonal Antibody

Rabbit Polyclonal Antibody
Brand: Invitrogen™ PA596497
This item is not returnable.
View return policy
Description
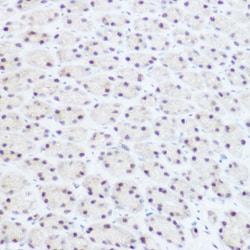
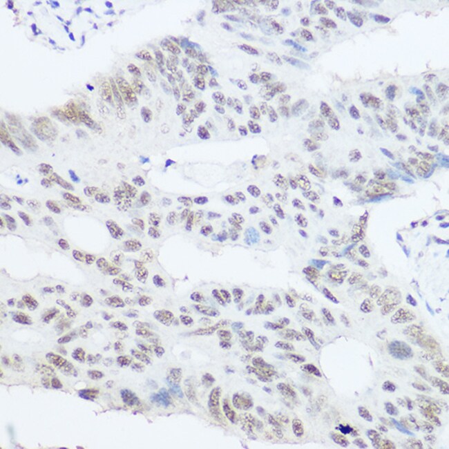
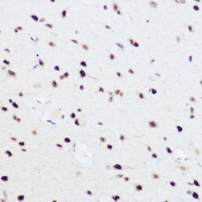
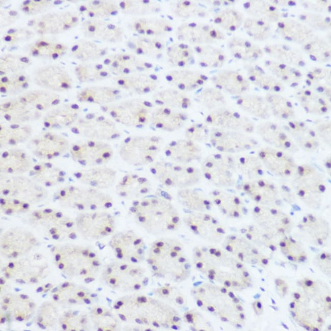
Immunogen sequence: MAGVFPYRGP GNPVPGPLAP LPDYMSEEKL QEKARKWQQL QAKRYAEKRK FGFVDAQKED MPPEHVRKII RDHGDMTNRK FRHDKRVYLG ALKYMPHAVL; Positive Samples: HeLa, Jurkat; Cellular Location: Nucleus speckle.
Pre-mRNA splicing occurs in 2 sequential transesterification steps. The protein encoded by this gene is a component of both U2- and U12-dependent spliceosomes, and found to be essential for the catalytic step II in pre-mRNA splicing process. It contains several WD repeats, which function in protein-protein interactions. This protein has a sequence similarity to yeast Prp8 protein. This gene is a candidate gene for autosomal dominant retinitis pigmentosa.
Specifications
| PRP8 | |
| Polyclonal | |
| Unconjugated | |
| Prpf8 | |
| 220 kDa U5 snRNP-specific protein; apoptosis-regulated protein 1; apoptosis-regulated protein 2; AU019467; D11Bwg0410e; DBF3/PRP8; H PRPC8; HPRP8; id:ibd1257; ik:tdsubc_2a9; im:7141966; p220; precursor mRNA processing protein; pre-mRNA processing factor 8; pre-mRNA-processing-splicing factor 8; Prp8; PRP8 homolog; PRP8 pre-mRNA processing factor 8 homolog; PRPC8; prpf8; RP13; Sfprp8l; SNRNP220; spl; Splicing factor Prp8; tdsubc_2a9; U5 snRNP-specific protein; U5 snRNP-specific protein (220 kD), ortholog of S. cerevisiae Prp8p; wu:fb37c02; wu:fb73e06; xx:tdsubc_2a9; zgc:56504 | |
| Rabbit | |
| Affinity Chromatography | |
| RUO | |
| 10594, 192159, 287530 | |
| -20°C, Avoid Freeze/Thaw Cycles | |
| Liquid |
| ELISA, Immunohistochemistry (Paraffin), Western Blot, Immunocytochemistry | |
| 0.99 mg/mL | |
| PBS with 50% glycerol and 0.02% sodium azide; pH 7.3 | |
| Q6P2Q9, Q99PV0 | |
| Prpf8 | |
| A synthetic peptide corresponding to a sequence within amino acids 1-100 of human PRPF8 (NP_0064363). | |
| 100 μL | |
| Primary | |
| Human, Mouse, Rat | |
| Antibody | |
| IgG |
Product Content Correction
Your input is important to us. Please complete this form to provide feedback related to the content on this product.
Product Title
Spot an opportunity for improvement?Share a Content Correction