missing translation for 'onlineSavingsMsg'
Learn More
Learn More
Invitrogen™ Prolactin Polyclonal Antibody

Rabbit Polyclonal Antibody
Brand: Invitrogen™ PA5119669
This item is not returnable.
View return policy
Description
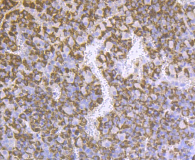
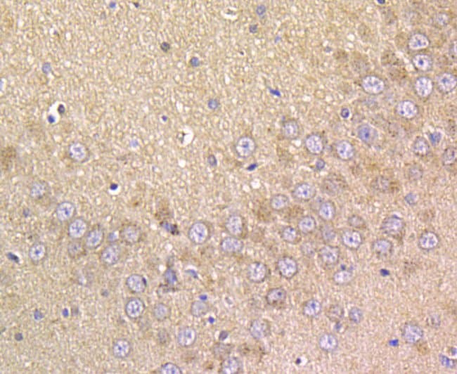
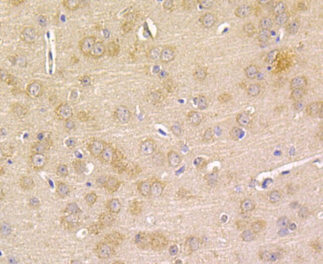
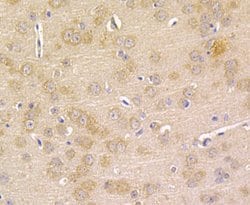
Positive Control: A549, SH-SY-5Y, SiHa, rat pituitary tissue, rat brain tissue, mouse brain tissue. Subcellular Location: Secreted.
Prolactin (PRL) is a pituitary hormone involved in the stimulation of milk production, salt and water regulation, growth, development and reproduction. PRL exerts its influence on different cell types through a signal transduction pathway which begins with the binding of the hormone to a transmembrane PRL receptor.
Specifications
| Prolactin | |
| Polyclonal | |
| Unconjugated | |
| PRL | |
| AV290867; decidual prolactin; GHA1; growth hormone A1; Human prolactin; lactogenic prehormone (AA -30 to 199); preprolactin; pre-prolactin; Prl; Prl1a1; PRLB; PRLSD1; Prol; Prolactin; prolactin family 1, subfamily a, member 1; prolactin precursor; prolactin protein; RATPRLSD1; RNPROL | |
| Rabbit | |
| Affinity Chromatography | |
| RUO | |
| 19109, 24683, 5617 | |
| Store at 4°C short term. For long term storage, store at -20°C, avoiding freeze/thaw cycles. | |
| Liquid |
| Flow Cytometry, Immunohistochemistry (Paraffin), Western Blot, Immunocytochemistry | |
| 1 mg/mL | |
| PBS with 0.2% BSA, 50% glycerol and 0.05% sodium azide; pH 7.4 | |
| P01236, P01237, P06879 | |
| PRL | |
| Recombinant protein within human Prolactin/PRL aa 50-200. | |
| 100 μL | |
| Primary | |
| Human, Mouse, Rat | |
| Antibody | |
| IgG |
Product Content Correction
Your input is important to us. Please complete this form to provide feedback related to the content on this product.
Product Title
Spot an opportunity for improvement?Share a Content Correction