missing translation for 'onlineSavingsMsg'
Learn More

Prolactin Antibody (PRL/4908R) - Azide and BSA Free, Novus Biologicals™

Product Code. 18365455 Shop All Bio Techne Products
Change view
Click to view available options
Quantity:
100 μg
Unit Size:
100µg
1 product options available for selection
Product selection table with 1 available options. Use arrow keys to navigate and Enter or Space to select.
Product Code. Quantity unitSize
18365455 100 μg 100µg
Use arrow keys to navigate between rows. Press Enter or Space to select a product option. 1 options available.
1 options
This item is not returnable. View return policy
Product Code. 18365455 Supplier Novus Biologicals Supplier No. NBP308249

Please to purchase this item. Need a web account? Register with us today!

This item is not returnable. View return policy

Rabbit Monoclonal Antibody

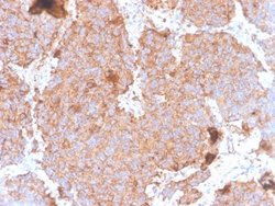
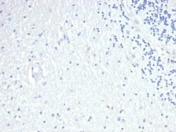
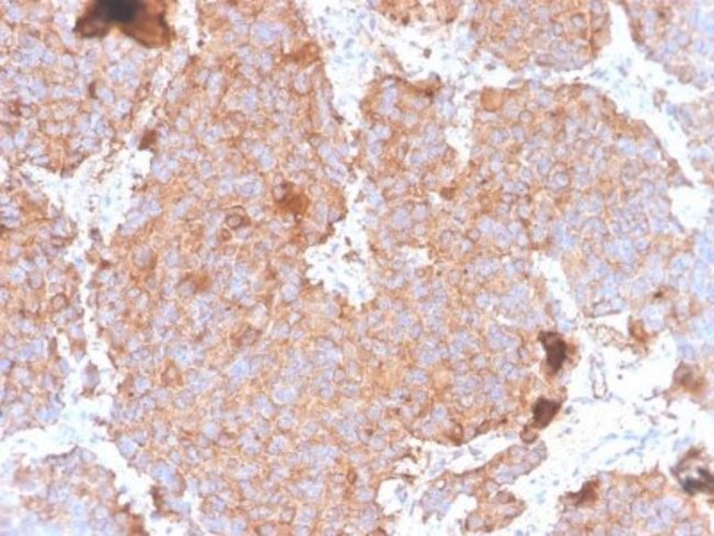
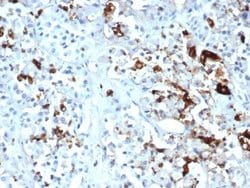
Prolactin Monoclonal specifically detects Prolactin in Human samples. It is validated for Immunohistochemistry-Paraffin.
TRUSTED_SUSTAINABILITY

Specifications

Antigen Prolactin
Applications Immunohistochemistry (Paraffin)
Classification Monoclonal
Clone PRL/4908R
Concentration 1 mg/mL
Conjugate Unconjugated
Dilution Immunohistochemistry-Paraffin : 1-2 ug/mL
Formulation 10mM PBS
Gene Alias prolactin
Host Species Rabbit
Immunogen Recombinant fragment of human Prolactin protein (around aa 63-201) (exact sequence is proprietary)
Purification Method Protein A or G purified
Quantity 100 μg
Regulatory Status RUO
Research Discipline Biologically Active Proteins, Cancer, Phospho Specific, Signal Transduction
Primary or Secondary Primary
Gene ID (Entrez) 5617
Target Species Human
Content And Storage Store at -20 to -80C. Avoid freeze-thaw cycles.
Form Purified
Isotype IgG κ
Show More Show Less
Product Title
Select an issue

By clicking Submit, you acknowledge that you may be contacted by Fisher Scientific in regards to the feedback you have provided in this form. We will not share your information for any other purposes. All contact information provided shall also be maintained in accordance with our Privacy Policy.