missing translation for 'onlineSavingsMsg'
Learn More

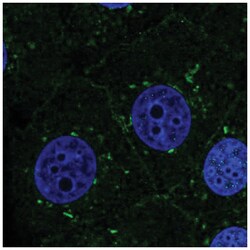
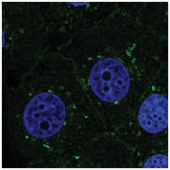
Presenilin-1 Antibody, Novus Biologicals™

Rabbit Polyclonal Antibody

£240.00 - £409.00

Specifications

Antigen Presenilin-1
Applications Immunocytochemistry, Immunofluorescence
Classification Polyclonal
Conjugate Unconjugated
Host Species Rabbit
View More Specs

Products 2
Product Code Brand Quantity Price Quantity & Availability  
Product Code Brand Quantity Price Quantity & Availability  
18235664
View Documents
Novus Biologicals
NBP2-57002
100 μL
£409.00
100µL
View alternative products
Save Up to 
»
Please to purchase this item. Need a web account? Register with us today!
18676336
View Documents
Novus Biologicals
NBP2-57002-25ul
25 μL
£240.00
25µL
View alternative products
Save Up to 
»
Please to purchase this item. Need a web account? Register with us today!
Description

Description

Presenilin-1 Polyclonal specifically detects Presenilin-1 in Human samples. It is validated for Immunocytochemistry/Immunofluorescence.
Specifications

Specifications

Presenilin-1
Polyclonal
Rabbit
Alzheimers Research, Apoptosis, Cancer, Hematopoietic Stem Cell Markers, Neurodegeneration, Neuronal Cell Markers, Neuroscience, Neurotransmission, Stem Cell Markers, Stem Cell Signaling Pathway, Tumor Suppressors, Wnt Signaling Pathway
PBS, pH 7.2, containing 40% glycerol with 0.02% Sodium Azide
5663
This antibody was developed against a recombinant protein corresponding to the following amino acid sequence:MTELPAPLSYFQNAQMSEDNHLSNTVRSQNDNRERQEHNDRRSLGHPEPLSNGRPQGNSRQVVEQ
Primary
Specificity of antibody verified on a Protein Array containing target protein plus 383 other non-specific proteins.
Immunocytochemistry, Immunofluorescence
Unconjugated
RUO
Human
AD3EC 3.4.23.-, Alzheimer disease 3, EC 3.4.23, FAD, presenilin 1, Protein S182, PS-1, PS1presenilin-1, PSNL1, S182
PSEN1
IgG
Affinity Purified
Videos
SDS
Documents

Documents

Product Certifications

For Research Use Only

Product Content Correction

Your input is important to us. Please complete this form to provide feedback related to the content on this product.

Product Title

By clicking Submit, you acknowledge that you may be contacted by Fisher Scientific in regards to the feedback you have provided in this form. We will not share your information for any other purposes. All contact information provided shall also be maintained in accordance with our Privacy Policy.

Thank You! Your feedback has been submitted. Fisher Scientific is always working to improve our content for you. We appreciate your feedback.