missing translation for 'onlineSavingsMsg'
Learn More
Learn More
Invitrogen™ Precerebellin Polyclonal Antibody

Description
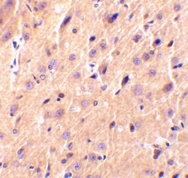
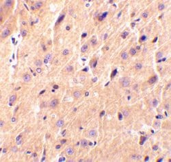
A suggested positive control is mouse cerebellum tissue lysate. PA5-20160 can be used with blocking peptide PEP-0279.
Precerebellin is the precursor of the brain-specific hexadecapeptide cerebellin, a protein with substantial similarity to the globular region of the B chain of complement component C1q. Cerebellin exerts neuromodulatory functions by directly stimulating norepinephrine release via the adenylate cyclase/pka- dependent signaling pathway; and indirectly enhances adrenocortical secretion in vivo, through a paracrine mechanism involving medullary catecholamine release. The active form of precerebellin is highly enriched in postsynaptic structures of cerebellar Purkinje cells in cartwheel neurons of the dorsal cochlear nucleus. Because precerebellin belongs to the C1q/tumor necrosis factor superfamily of secreted proteins and has similarity to adiponectin and CTRP3, it has been suggested that precerebellin posseses functions other than those already stated.
Specifications
Specifications
| Antigen | Precerebellin |
| Applications | Immunohistochemistry, Western Blot |
| Classification | Polyclonal |
| Concentration | 1 mg/mL |
| Conjugate | Unconjugated |
| Formulation | PBS with 0.02% sodium azide |
| Gene | CBLN1 |
| Gene Accession No. | P23435, P63182, Q9R171 |
| Gene Alias | [des-Ser1]CER; [des-Ser1]-cerebellin; AI323299; Brain protein D3; Cbln1; CER; Cerebellin; cerebellin 1 precursor; cerebellin 1 precursor protein; cerebellin-1; des-Ser(1)-cerebellin; des-Ser1-cerebellin; Precerebellin |
| Gene Symbols | CBLN1 |
| Show More |
Product Title
By clicking Submit, you acknowledge that you may be contacted by Fisher Scientific in regards to the feedback you have provided in this form. We will not share your information for any other purposes. All contact information provided shall also be maintained in accordance with our Privacy Policy.
Spot an opportunity for improvement?