missing translation for 'onlineSavingsMsg'
Learn More

Invitrogen™ PRDX6 Recombinant Rabbit Monoclonal Antibody (24GB910)

Rabbit Recombinant Monoclonal Antibody

Brand:  Invitrogen™ MA557567

 View more versions of this product

Product Code. 30275158

  • £172.00 / 20µL

Please to purchase this item. Need a web account? Register with us today!

This item is not returnable. View return policy

Description

Description

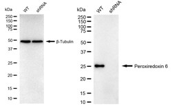
PRDX6 Recombinant Monoclonal Antibody for Western Blot, ICC/IF, Flow

Peroxiredoxin (Prx) is a growing peroxidase family, whose mammalian members have been known to connect with cell proliferation, differentiation, and apoptosis. Many isoforms (about 50 proteins), collected in accordance to the amino acid sequence homology, containing active site cysteine residue, and the thiol-specific antioxidant activity, distribute throughout all the kingdoms. Among them, mammalian Prx consists of 6 different members grouped into typical 2-Cys, atypical 2-Cys Prx, and 1-Cys Prx. Except Prx VI belonging to 1-Cys Prx subgroup, the other five 2-Cys Prx isotypes have the thioredoxin-dependent peroxidase (TPx) activity utilizing thioredoxin, thioredoxin reductase, and NADPH as a reducing system. Mammalian Prxs are 20-30 kilodalton in molecular size and vary in subcellular localization: Prx I, II, and VI in cytosol, Prx III in mitochondria, Prx IV in ER and secretion, Prx V showing complicated distribution including peroxisome, mitochondria and cytosol.
TRUSTED_SUSTAINABILITY
Specifications

Specifications

PRDX6
Recombinant Monoclonal
Unconjugated
PRDX6
1-Cys; 1-Cys peroxiredoxin; 1-Cys PRX; 1-cysPrx; 24 kDa protein; 9430088D19Rik; AA690119; Acidic calcium-independent phospholipase A2; aiPLA2; Antioxidant protein 2; Aop2; Brp-12; CP-3; epididymis secretory sperm binding protein Li 128m; GPx; HEL-S-128m; KIAA0106; Liver 2D page spot 40; Ltw4; Ltw-4; Lvtw-4; MGC46173; MSP23; NKEFA; Non-selenium glutathione peroxidase; NSGPx; ORF06; p29; PAG; PAGA; PAGB; peroxiredoxin 6; peroxiredoxin-6; Prdx5; Prdx6; PRX; Prx6; Red blood cells page spot 12; thiol-specific antioxidant protein; Tsa
Rabbit
Affinity chromatography
RUO
94167, 9588
-20°C
Liquid
Flow Cytometry, Western Blot, Immunocytochemistry
24GB910
PBS with 50% glycerol and 0.02% sodium azide; pH 7.4
O35244, P30041
PRDX6
A synthesized peptide derived from human PRDX6 (aa 180-224).
20 μL
Primary
Human, Rat
Antibody
IgG
Product Suggestions

Product Suggestions

Videos
SDS
Documents

Documents

Certificates
Promotions

Promotions

Product Content Correction

Your input is important to us. Please complete this form to provide feedback related to the content on this product.

Product Title

By clicking Submit, you acknowledge that you may be contacted by Fisher Scientific in regards to the feedback you have provided in this form. We will not share your information for any other purposes. All contact information provided shall also be maintained in accordance with our Privacy Policy.

Thank You! Your feedback has been submitted. Fisher Scientific is always working to improve our content for you. We appreciate your feedback.