missing translation for 'onlineSavingsMsg'
Learn More

PRC1 Rabbit anti-Human, Polyclonal, Novus Biologicals™

Product Code. 18380246 Shop All Bio Techne Products
Change view
Click to view available options
Quantity:
100 μg
25 μg
Unit Size:
100µL
25µL
2 product options available for selection
Product selection table with 2 available options. Use arrow keys to navigate and Enter or Space to select.
Product Code. Quantity unitSize
18380246 25 μg 25µL
18380454 100 μg 100µL
Use arrow keys to navigate between rows. Press Enter or Space to select a product option. 2 options available.
2 options
This item is not returnable. View return policy
Product Code. 18380246 Supplier Novus Biologicals Supplier No. NBP31700825UL

Please to purchase this item. Need a web account? Register with us today!

This item is not returnable. View return policy

Rabbit Polyclonal Antibody

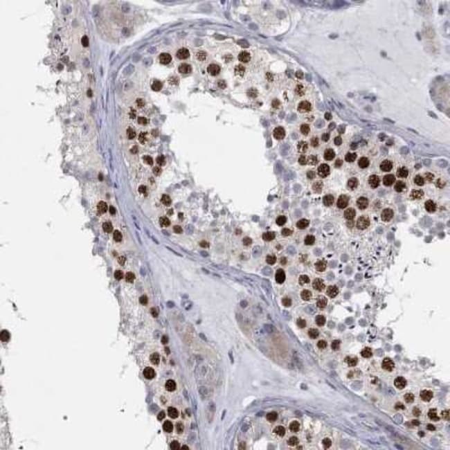
PRC1 Polyclonal antibody specifically detects PRC1 in Human samples. It is validated for Western Blot, Immunohistochemistry, Immunohistochemistry (Paraffin)
TRUSTED_SUSTAINABILITY

Specifications

Antigen PRC1
Applications Western Blot, Immunohistochemistry, Immunohistochemistry (Paraffin)
Classification Polyclonal
Conjugate Unconjugated
Dilution Western Blot 0.04 to 0.4 μg/mL, Immunohistochemistry 1:500 - 1:1000, Immunohistochemistry-Paraffin 1:500 - 1:1000
Formulation PBS, pH 7.2, 40% glycerol
Gene Alias anaphase spindle elongation 1 homolog, ASE1, MGC1671, MGC3669, protein regulating cytokinesis 1, protein regulator of cytokinesis 1
Host Species Rabbit
Immunogen This antibody was developed against Recombinant Protein corresponding to amino acids: DMMIAEEESLKERLIKSISVCQKELNTLCSELHVEPFQEEGETTILQLEKDLRTQVELMRKQKKERKQELKLLQEQDQELCEILCMP
Purification Method Affinity purified
Quantity 25 μg
Regulatory Status RUO
Research Discipline Cell Cycle and Replication, Mitotic Regulators
Primary or Secondary Primary
Gene ID (Entrez) 9055
Target Species Human
Content And Storage Store at 4°C short term. Aliquot and store at -20°C long term. Avoid freeze-thaw cycles.
Form Purified
Isotype IgG
Show More Show Less
Product Title
Select an issue

By clicking Submit, you acknowledge that you may be contacted by Fisher Scientific in regards to the feedback you have provided in this form. We will not share your information for any other purposes. All contact information provided shall also be maintained in accordance with our Privacy Policy.