missing translation for 'onlineSavingsMsg'
Learn More

PRC1 Antibody, Novus Biologicals™

Rabbit Polyclonal Antibody

Brand:  Novus Biologicals NBP1-88856-25ul

 View more versions of this product

Product Code. 18410861

  • £222.00 / 25µL

Please to purchase this item. Need a web account? Register with us today!

This item is not returnable. View return policy

Description

Description

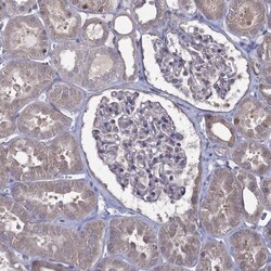
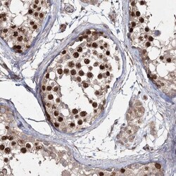
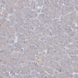
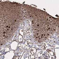
PRC1 Polyclonal specifically detects PRC1 in Human, Mouse, Rat samples. It is validated for Western Blot, Immunohistochemistry, Immunohistochemistry-Paraffin.
TRUSTED_SUSTAINABILITY
Specifications

Specifications

PRC1
Polyclonal
Western Blot 0.4 ug/ml, Immunohistochemistry 1:200 - 1:500, Immunohistochemistry-Paraffin 1:200 - 1:500
anaphase spindle elongation 1 homolog, ASE1, MGC1671, MGC3669, protein regulating cytokinesis 1, protein regulator of cytokinesis 1
Rabbit
Affinity Purified
RUO
Primary
Specificity of human PRC1 antibody verified on a Protein Array containing target protein plus 383 other non-specific proteins.
Store at 4C short term. Aliquot and store at -20C long term. Avoid freeze-thaw cycles.
Western Blot, Immunohistochemistry, Immunocytochemistry, Immunofluorescence, Immunohistochemistry (Paraffin)
Unconjugated
PBS (pH 7.2) and 40% Glycerol with 0.02% Sodium Azide
PRC1
This antibody was developed against Recombinant Protein corresponding to amino acids:KMQNMKKVIEAIRVELVQYWDQCFYSQEQRQAFAPFCAEDYTESLLQLHDAEIVRLKNYYEVHKELFEGVQKWEETWRLFLEFERKASDPNRFTNRGGNLLKEEKQRAKLQKMLPKLEEELKARIELWEQEHSKAFMVNGQKFMEYV
25 μL
Cell Cycle and Replication, Mitotic Regulators
9055
Human, Mouse, Rat
IgG
Product Suggestions

Product Suggestions

Videos
SDS
Documents

Documents

Certificates
Promotions

Promotions

Product Content Correction

Your input is important to us. Please complete this form to provide feedback related to the content on this product.

Product Title

By clicking Submit, you acknowledge that you may be contacted by Fisher Scientific in regards to the feedback you have provided in this form. We will not share your information for any other purposes. All contact information provided shall also be maintained in accordance with our Privacy Policy.

Thank You! Your feedback has been submitted. Fisher Scientific is always working to improve our content for you. We appreciate your feedback.

For Research Use Only