missing translation for 'onlineSavingsMsg'
Learn More

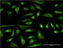
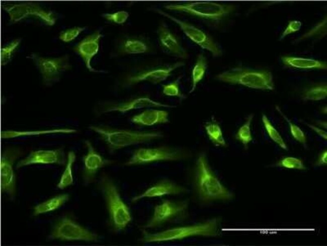
PRC1 Antibody (3B10-1F9), Novus Biologicals™

Product Code. 18397258 Shop All Bio Techne Products
Change view
Click to view available options
Quantity:
0.1 mg
Unit Size:
0.01mg
1 product options available for selection
Product selection table with 1 available options. Use arrow keys to navigate and Enter or Space to select.
Product Code. Quantity unitSize
18397258 0.1 mg 0.01mg
Use arrow keys to navigate between rows. Press Enter or Space to select a product option. 1 options available.
1 options
This item is not returnable. View return policy
Product Code. 18397258 Supplier Novus Biologicals Supplier No. H00009055M03

Please to purchase this item. Need a web account? Register with us today!

This item is not returnable. View return policy

Mouse Monoclonal Antibody

PRC1 Monoclonal antibody specifically detects PRC1 in Human samples. It is validated for Western Blot, ELISA, Immunocytochemistry/ Immunofluorescence
TRUSTED_SUSTAINABILITY

Specifications

Antigen PRC1
Applications Western Blot, ELISA, Immunocytochemistry
Classification Monoclonal
Clone 3B10-1F9
Conjugate Unconjugated
Dilution Western Blot 1:500, ELISA, Immunocytochemistry/ Immunofluorescence
Formulation In 1x PBS, pH 7.4
Gene Accession No. AAH03138
Gene Alias anaphase spindle elongation 1 homolog, ASE1, MGC1671, MGC3669, protein regulating cytokinesis 1, protein regulator of cytokinesis 1
Host Species Mouse
Immunogen PRC1 (AAH03138.1, 1 a.a. ~ 620 a.a) full-length recombinant protein with GST tag. MW of the GST tag alone is 26 KDa. MRRSEVLAEESIVCLQKALNHLREIWELIGIPEDQRLQRTEVVKKHIKELLDMMIAEEESLKERLIKSISVCQKELNTLCSELHVEPFQEEGETTILQLEKDLRTQVELMRKQKKERKQELKLLQEQDQELCEILCMPHYDIDSASVPSLEELNQFRQHVTTLRETKASRREEFVSIKRQIILCMEELDHTPDTSFERDVVCEDEDAFCLSLENIATLQKLLRQLEMQKSQNEAVCEGLRTQIRELWDRLQIPEEEREAVATIMSGSKAKVRKALQLEVDRLEELKMQNMKKVIEAIRVELVQYWDQCFYSQEQRQAFAPFCAEDYTESLLQLHDAEIVRLKNYYEVHKELFEGVQKWEETWRLFLEFERKASDPNRFTNRGGNLLKEEKQRAKLQKMLPKLEEELKARIELWEQEHSKAFMVNGQKFMEYVAEQWEMHRLEKERAKQERQLKNKKQTETEMLYGSAPRTPSKRRGLAPNTPGKARKLNTTTMSNATANSSIRPIFGGTVYHSPVSRLPPSGSKPVAASTCSGKKTPRTGRHGANKENLELNGSILSGGYPGSAPLQRNFSINSVASTYSEFAKDPSLSDSSTVGLQRELSKASKSDATSGILNSTNIQS
Purification Method IgG purified
Quantity 0.1 mg
Regulatory Status RUO
Research Discipline Cell Cycle and Replication, Mitotic Regulators
Primary or Secondary Primary
Gene ID (Entrez) 9055
Target Species Human
Content And Storage Aliquot and store at -20°C or -80°C. Avoid freeze-thaw cycles.
Form Purified
Isotype IgG1 κ
Show More Show Less
Product Title
Select an issue

By clicking Submit, you acknowledge that you may be contacted by Fisher Scientific in regards to the feedback you have provided in this form. We will not share your information for any other purposes. All contact information provided shall also be maintained in accordance with our Privacy Policy.