missing translation for 'onlineSavingsMsg'
Learn More
Learn More
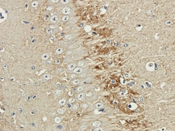
Invitrogen™ Polysialic acid Chimeric Recombinant Rabbit Monoclonal Antibody (735)

Rabbit Recombinant Monoclonal Antibody
Brand: Invitrogen™ MA547855
This item is not returnable.
View return policy
Description
Specificity: Recognises Polysialic acid (PSA), a carbohydrate polymer attached to the neural cell adhesion molecule (NCAM), which shares molecular epitopes with homopolymers of alpha-2,8-linked sialic acid of Escherichia coli K1.
Polysialic acid is a glycan polymer composed of repeating units of the monosaccharide sialic acid. It consists of a linear chain of alpha-2,8-linked sialic acid residues that can extend up to 200 units in length. This negatively charged molecule is commonly present in the cell membranes of various organisms, including bacteria and animals, and plays a crucial role in regulating cell adhesion, migration, and neural development. Polysialic acid is also being explored for its potential therapeutic applications in the treatment of certain cancers and neurological disorders.
Specifications
| Polysialic acid Chimeric | |
| Recombinant Monoclonal | |
| 1 mg/mL | |
| PBS with 0.02% ProClin 300 | |
| Rabbit | |
| Protein A | |
| RUO | |
| Human, Mouse, Rat | |
| Antibody | |
| IgG κ |
| Flow Cytometry, Immunohistochemistry (PFA fixed), Immunoprecipitation, Western Blot | |
| 735 | |
| Unconjugated | |
| polySia; PSA | |
| Homopolymers of alpha-2,8-linked sialic acid of Escherichia coli K1. | |
| 100 μg | |
| Primary | |
| Store at 4°C short term. For long term storage, store at -20°C, avoiding freeze/thaw cycles. | |
| Liquid |
Product Content Correction
Your input is important to us. Please complete this form to provide feedback related to the content on this product.
Product Title
Spot an opportunity for improvement?Share a Content Correction