missing translation for 'onlineSavingsMsg'
Learn More
Learn More
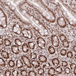
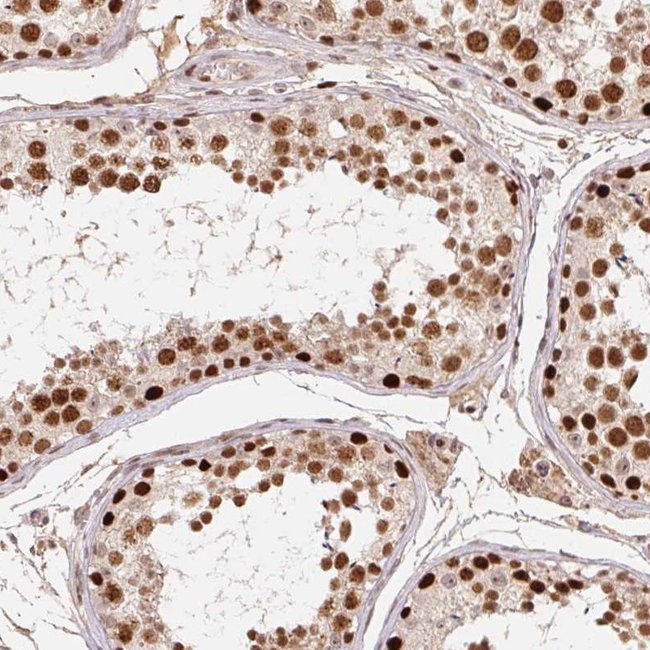
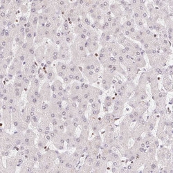
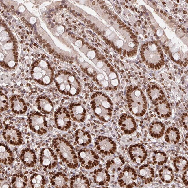
Description
Immunogen sequence: SVTEPKLATP AGLKKSSKKA EPVKVLQKEK KRGKRVALSD DETKETENMR KKRRRIKLPE SDSSEDEVFP DSPGAY Highest antigen sequence identity to the following orthologs: Mouse - 75%, Rat - 75%.
DNA replication, recombination and repair, all of which are necessary for genomic stability, require the presence of exonucleases. In DNA replication, exonucleases are involved in the processing of Okazaki fragments, whereas in DNA repair, they function to excise damaged DNA fragments and correct recombinational mismatches. These exonucleases include the family of DNA polymerases, namely DNA pol alpha, beta, delta and epsilon. DNA pol delta and DNA pol epsilon are multisubunit enzymes, with DNA pol delta consisting of two subunits which interact with the sliding DNA clamp protein PCNA. DNA pol delta 3, also known as POLD3 or p66, is a 466 amino acid nuclear protein that is required for the proper function of DNA pol delta.
Specifications
Specifications
| Antigen | POLD3 |
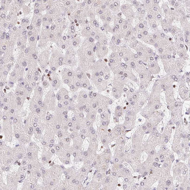
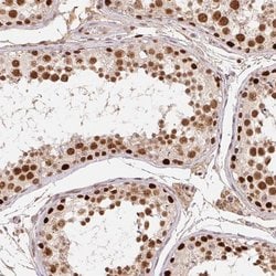
| Applications | Immunohistochemistry (Paraffin), Immunocytochemistry |
| Classification | Polyclonal |
| Concentration | 0.1 mg/mL |
| Conjugate | Unconjugated |
| Formulation | PBS with 40% glycerol and 0.02% sodium azide; pH 7.2 |
| Gene | POLD3 |
| Gene Accession No. | Q15054 |
| Gene Alias | 2410142G14Rik; C85233; DNA pol delta3; DNA polymerase delta 3, accessory subunit; DNA polymerase delta subunit 3; DNA polymerase delta subunit C; DNA polymerase delta subunit p66; DNA polymerase delta subunit p68; DNA-directed DNA polymerase delta 3; DNApol delta3; GC12; KIAA0039; P66; P68; Pol delta C subunit (p66); POLD3; polymerase (DNA directed), delta 3; polymerase (DNA) delta 3, accessory subunit; polymerase (DNA-directed), delta 3, accessory subunit; PPP1R128; protein phosphatase 1, regulatory subunit 128 |
| Gene Symbols | POLD3 |
| Show More |
Product Title
By clicking Submit, you acknowledge that you may be contacted by Fisher Scientific in regards to the feedback you have provided in this form. We will not share your information for any other purposes. All contact information provided shall also be maintained in accordance with our Privacy Policy.
Spot an opportunity for improvement?
