missing translation for 'onlineSavingsMsg'
Learn More
Learn More
PMVK Rabbit anti-Human, Mouse, Rat, Polyclonal, Proteintech
Rabbit Polyclonal Antibody
Brand: Proteintech 15674-1-AP-20UL
This item is not returnable.
View return policy
Description
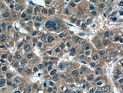
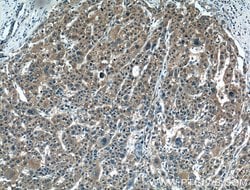
PMVK is a peroxisomal enzyme that catalyzes the conversion of mevalonate 5-phosphate into mevalonate 5-diphosphate as the fifth reaction of the cholesterol biosynthetic pathway.Specifications
| PMVK | |
| Polyclonal | |
| Unconjugated | |
| PMVK | |
| hPMK, HUMPMKI, phosphomevalonate kinase, PMK, PMKA, PMKASE, PMKI, PMVK | |
| Rabbit | |
| Antigen Affinity Chromatography | |
| RUO | |
| 10654, 310645, 68603 | |
| -20°C | |
| Liquid |
| Immunohistochemistry (Paraffin), Western Blot | |
| 0.19 mg/mL | |
| PBS with 50% glycerol and 0.02% sodium azide; pH 7.3 | |
| Q15126, Q9D1G2 | |
| PMVK | |
| PMVK Fusion Protein Ag8141 | |
| 20 μL | |
| Primary | |
| Mouse, Human, Rat | |
| Antibody | |
| IgG |
Product Content Correction
Your input is important to us. Please complete this form to provide feedback related to the content on this product.
Product Title
Spot an opportunity for improvement?Share a Content Correction