missing translation for 'onlineSavingsMsg'
Learn More

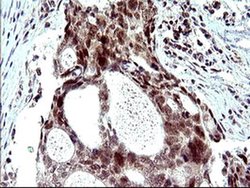
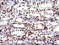
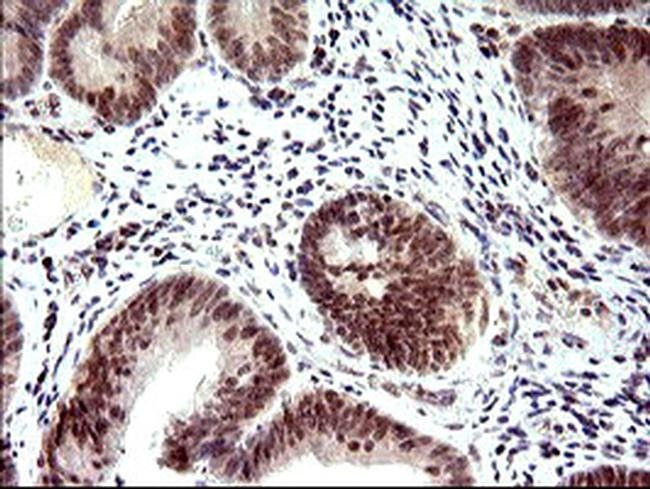
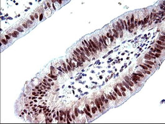
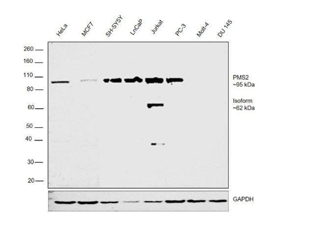
Invitrogen™ PMS2 Monoclonal Antibody (OTI2G5)

Mouse Monoclonal Antibody

Brand:  Invitrogen™ MA526269

Product Code. 15965864

  • £496.00 / 100µL

Please to purchase this item. Need a web account? Register with us today!

This item is not returnable. View return policy

Description

Description

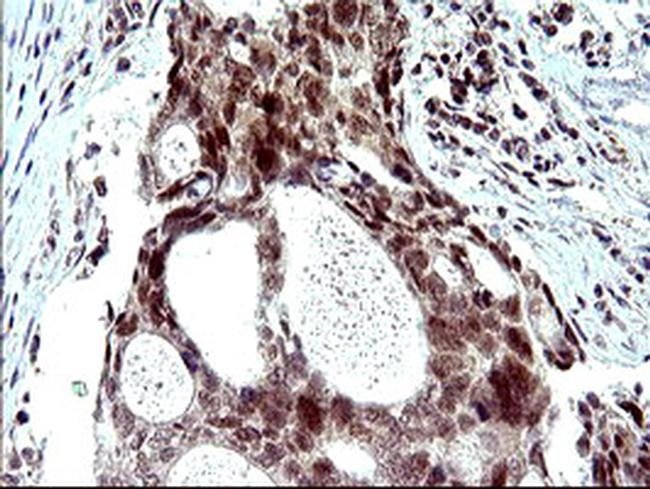
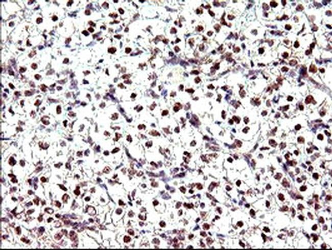
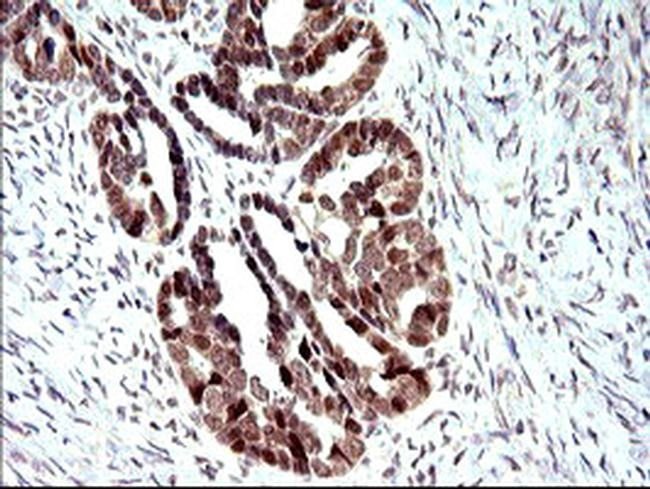
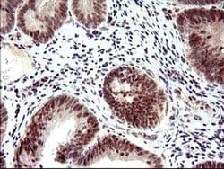
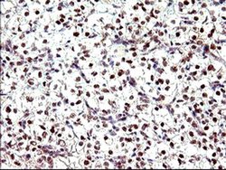
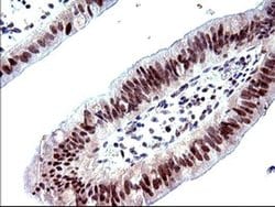
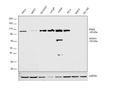
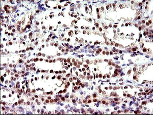
PMS2 Monoclonal Antibody for Western Blot, ICC/IF, IHC (P)

PMS1 protein homologue 2 (PMS2) is a DNA mismatch repair protein. Defects in PMS2 are a cause of hereditary non-polyposis cancer (HNPCC). Human PMS2 is an amino acid protein of 862 amino acids.
TRUSTED_SUSTAINABILITY
Specifications

Specifications

PMS2
Monoclonal
1 mg/mL
PBS with 1% BSA, 50% glycerol and 0.02% sodium azide; pH 7.3
P54278
PMS2
Full length human recombinant protein of PMS2 produced in HEK293T cell.
100 μL
Primary
Human
Antibody
IgG2b
Immunohistochemistry (Paraffin), Western Blot, Immunocytochemistry
OTI2G5
Unconjugated
PMS2
AW555130; DNA mismatch repair protein PMS2; H_DJ0042M02.9; HNPCC4; mismatch repair endonuclease PMS2; MLH4; PMS1 homolog 2, mismatch repair protein; PMS1 homolog 2, mismatch repair system component; PMS1 protein homolog 2; PMS2; PMS2 postmeiotic segregation increased 2; PMS2 postmeiotic segregation increased 2 (S. cerevisiae); PMS2CL; PMSL2; postmeiotic segregation increased 2; postmeiotic segregation increased 2 (S. cerevisiae); postmeiotic segregation increased 2 nirs variant 6
Mouse
Affinity Chromatography
RUO
5395
-20°C, Avoid Freeze/Thaw Cycles
Liquid
Product Suggestions

Product Suggestions

Videos
SDS
Documents

Documents

Certificates
Promotions

Promotions

Product Content Correction

Your input is important to us. Please complete this form to provide feedback related to the content on this product.

Product Title

By clicking Submit, you acknowledge that you may be contacted by Fisher Scientific in regards to the feedback you have provided in this form. We will not share your information for any other purposes. All contact information provided shall also be maintained in accordance with our Privacy Policy.

Thank You! Your feedback has been submitted. Fisher Scientific is always working to improve our content for you. We appreciate your feedback.