missing translation for 'onlineSavingsMsg'
Learn More

PLK1 (PHO T210 Mouse anti-Human, Clone: 2A3, Abnova™

Mouse monoclonal antibody raised against synthetic phosphopeptide of human PLK1.

Brand:  Abnova MAB12911.50ug

Product Code. 16071436

  • £527.00 / 50µg

Please to purchase this item. Need a web account? Register with us today!

This item is not returnable. View return policy

Description

Description

Specifications

Specifications

PLK1 (PHO T210
Monoclonal
Unconjugated
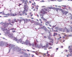
Immunohistochemistry (Formalin/PFA-fixed paraffin-embedded sections) (15 ug/mL) Western Blot The optimal working dilution should be determined by the end user.
PLK/STPK13
Mouse
Affinity purification
RUO
5347
Store at 4°C. Do not freeze.
IgG1
Immunohistochemistry (PFA fixed), Western Blot
2A3
Mouse monoclonal antibody raised against synthetic phosphopeptide of human PLK1.
In PBS, pH 7.2 (0.09% sodium azide).
PLK1
Synthetic phosphopeptide corresponding to residues surrounding T210 of human PLK1.
50 μg
Primary
Human
Liquid
Product Suggestions

Product Suggestions

Videos
SDS
Documents

Documents

Certificates
Promotions

Promotions

Product Content Correction

Your input is important to us. Please complete this form to provide feedback related to the content on this product.

Product Title

By clicking Submit, you acknowledge that you may be contacted by Fisher Scientific in regards to the feedback you have provided in this form. We will not share your information for any other purposes. All contact information provided shall also be maintained in accordance with our Privacy Policy.

Thank You! Your feedback has been submitted. Fisher Scientific is always working to improve our content for you. We appreciate your feedback.