missing translation for 'onlineSavingsMsg'
Learn More
Learn More
Invitrogen™ PLEKHM2 Polyclonal Antibody

Description
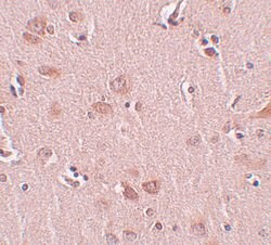
A suggested positive control is rat brain tissue lysate. PA5-20850 can be used with blocking peptide PEP-0964.
PLEKHM2, also known as SKIP, is a member of the M family of Pleckstrin homology domain-containing proteins. While little is known of PLEKHM2, a recent study examining differential gene expression in human hematopoietic stem cells has shown it to be specifically expressed in stem cells, suggesting that PLEKHM2 may play a role in erythroid commitment and development. Other studies have shown that PLEKHM2 is required for interaction with the Salmonella virulence factor SifA for Salmonella pathogenesis, suggesting that PLEKHM2 has cellular roles other than in the developing embryo.
Specifications
Specifications
| Antigen | PLEKHM2 |
| Applications | Immunohistochemistry, Western Blot, Immunocytochemistry |
| Classification | Polyclonal |
| Concentration | 1 mg/mL |
| Conjugate | Unconjugated |
| Formulation | PBS with 0.02% sodium azide |
| Gene | PLEKHM2 |
| Gene Accession No. | Q80TQ5, Q8IWE5 |
| Gene Alias | 2310034J19Rik; AI854247; KIAA0842; mKIAA0842; novel RUN and PH domain-containing protein; PH domain-containing family M member 2; pleckstrin homology and RUN domain containing M2; pleckstrin homology domain containing, family M (with RUN domain) member 2; pleckstrin homology domain-containing family M member 2; Plekhm2; RP11-169K16.1; Salmonella-induced filaments A and kinesin-interacting protein; SifA (Salmonella-induced filaments A) and kinesin-interacting protein; sifA and kinesin-interacting protein; SKIP |
| Gene Symbols | PLEKHM2 |
| Show More |
Product Title
By clicking Submit, you acknowledge that you may be contacted by Fisher Scientific in regards to the feedback you have provided in this form. We will not share your information for any other purposes. All contact information provided shall also be maintained in accordance with our Privacy Policy.
Spot an opportunity for improvement?