missing translation for 'onlineSavingsMsg'
Learn More

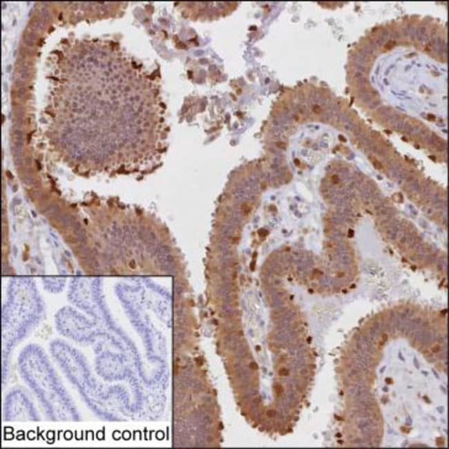
Invitrogen™ PKC delta Monoclonal Antibody (K06341_6F1), Invitrogen™

Mouse Monoclonal Antibody

Brand:  Invitrogen™ MA555947

 View more versions of this product

Product Code. 30199021

  • £453.00 / 50µg

Please to purchase this item. Need a web account? Register with us today!

This item is not returnable. View return policy

Description

Description

Sequence of this protein is as follows: KCREKVANLC GINQKLLAEA LNQVTQRASR RSDSASSEPV GIYQGFEKKT GVAGEDMQDN SGTYGKIWEG

The PKC family of serine/threonine kinases, including PRKCD (PKC delta), is activated intracellularly by signal transduction pathways. In humans, at least 12 different PKC polypeptides have been identified. These isoforms differ in primary structure, tissue distribution, subcellular localization, mode of action in vitro, response to extracellular signals, and substrate specificity. PKC alpha, beta I, beta II, and gamma form the conventional family; their activities are Ca2+- and phospholipid-dependent. Protein kinase C (PKC) can be activated by calcium and the second messenger diacylglycerol. PKC family members phosphorylate a wide variety of protein targets and are known to be involved in diverse cellular signaling pathways. PKC family members also serve as major receptors for phorbol esters, a class of tumor promoters. Each member of the PKC family has a specific expression profile and is believed to play distinct roles in cells. The protein encoded by this gene is one of the PKC family members. Studies both in human and mice demonstrate that this kinase is involved in B cell signaling and in the regulation of growth, apoptosis, and differentiation of a variety of cell types. Alternatively spliced transcript variants encoding the same protein have been observed.
TRUSTED_SUSTAINABILITY
Specifications

Specifications

PKC delta
Monoclonal
1 mg/mL
PBS with 50% glycerol, 0.5% BSA and 0.09% sodium azide
Q05655
PRKCD
Recombinant human PRKCD (immunogen range is 271-340).
50 μL
Primary
Human
Antibody
IgG1
Immunohistochemistry (Paraffin), Immunoprecipitation, Western Blot
K06341_6F1
Unconjugated
PRKCD
1-May; AI385711; ALPS3; CVID9; D14Ertd420e; kinase nPKC-delta; KPCD; MAY1; nPKC-delta; PKC[d]; Pkcd; PKCdelta; Prkcd; protein kinase C delta; protein kinase C delta type; Protein kinase C delta type catalytic subunit; Protein kinase C delta type regulatory subunit; protein kinase C delta variant IX; protein kinase C delta VIII; protein kinase C, delta; protein kinase C, delta IV; protein kinase C, delta V; protein kinase C[d]; SDK1; Sphingosine-dependent protein kinase-1; Tyrosine-protein kinase PRKCD
Mouse
Protein A
RUO
5580
Store at 4°C short term. For long term storage, store at -20°C, avoiding freeze/thaw cycles.
Liquid
Product Suggestions

Product Suggestions

Videos
SDS
Documents

Documents

Certificates
Promotions

Promotions

Product Content Correction

Your input is important to us. Please complete this form to provide feedback related to the content on this product.

Product Title

By clicking Submit, you acknowledge that you may be contacted by Fisher Scientific in regards to the feedback you have provided in this form. We will not share your information for any other purposes. All contact information provided shall also be maintained in accordance with our Privacy Policy.

Thank You! Your feedback has been submitted. Fisher Scientific is always working to improve our content for you. We appreciate your feedback.