missing translation for 'onlineSavingsMsg'
Learn More
Learn More
Invitrogen™ PIM2 Recombinant Rabbit Monoclonal Antibody (JE55-57)

Description
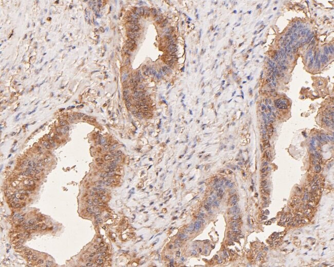
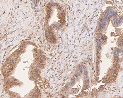
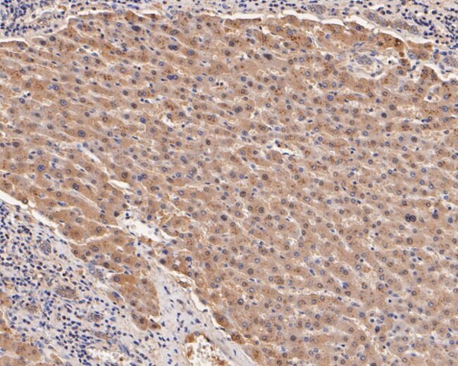
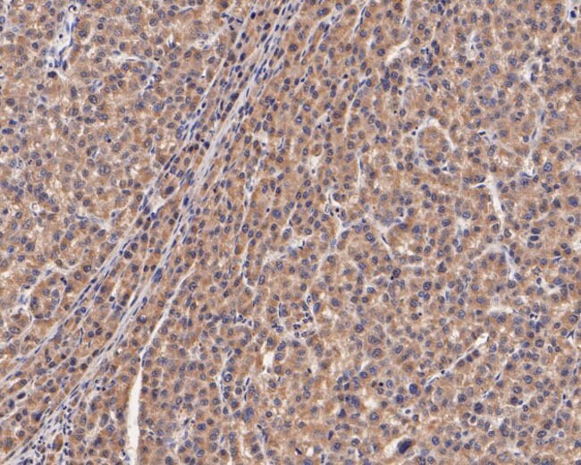
Positive Control: Rat liver tissue lysate, mouse liver tissue lysate, human small intestine tissue lysate, 293T, A431, rat testis tissue, human liver tissue, human liver carcinoma tissue, human colon carcinoma tissue, mouse small intestine tissue, HepG2. Subcellular Location: Cytoplasm.
PIM2 is a proto-oncogene which phosphorylates BAD, which partially inhibits its apopotopic function. PIM proteins (PIM-1, PIM-2 and PIM-3) are oncogene-encoded serine/threonine kinases. PIM-2 is highly homologous to Pim-1 with similar oncogenic functions. PIM-2 is most abundantly expressed in hematopoietic tissues, spleen, thymus, and peripheral blood leukocytes, as well as in testis, small intestine, and colon. PIM2 expression is negatively regulated by growth factor depletion. Increased levels of PIM-2 has also been observed in certain cancers.
Specifications
Specifications
| Antigen | PIM2 |
| Applications | Flow Cytometry, Immunohistochemistry (Paraffin), Western Blot, Immunocytochemistry |
| Classification | Recombinant Monoclonal |
| Clone | JE55-57 |
| Concentration | 1 mg/mL |
| Conjugate | Unconjugated |
| Formulation | TBS with 0.05% BSA, 40% glycerol and 0.05% sodium azide; pH 7.4 |
| Gene | PIM2 |
| Gene Accession No. | Q62070, Q9P1W9 |
| Gene Alias | DXCch3; PIM2; Pim-2; pim-2 oncogene; Pim-2 proto-oncogene, serine/threonine kinase; pim-2h; proto-oncogene Pim-2 (serine threonine kinase); proviral integration site 2; serine/threonine protein kinase pim-2; serine/threonine-protein kinase pim-2 |
| Show More |
Product Title
By clicking Submit, you acknowledge that you may be contacted by Fisher Scientific in regards to the feedback you have provided in this form. We will not share your information for any other purposes. All contact information provided shall also be maintained in accordance with our Privacy Policy.
Spot an opportunity for improvement?