missing translation for 'onlineSavingsMsg'
Learn More

Invitrogen™ PIAS1 Recombinant Rabbit Monoclonal Antibody (JE36-84)
GREENER_CHOICE

Rabbit Recombinant Monoclonal Antibody

Brand:  Invitrogen™ MA544844

Product Code. 17837062

  • £418.00 / 100µL

Please to purchase this item. Need a web account? Register with us today!

This item is not returnable. View return policy

Description

Description

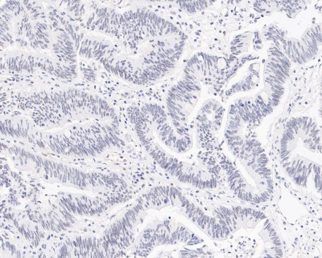
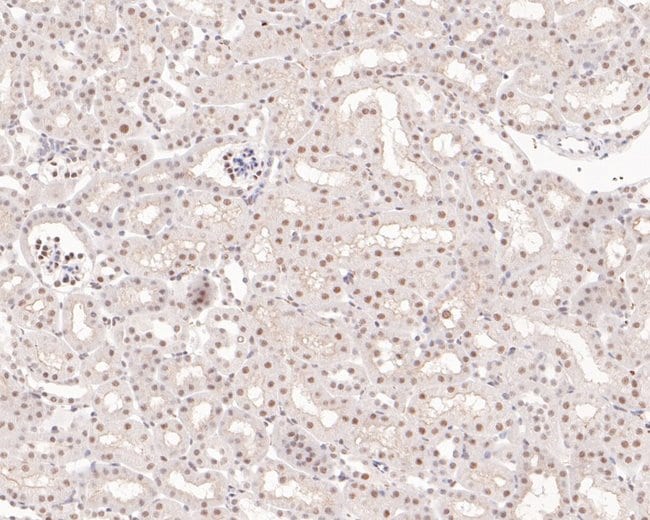
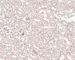
PIAS1 Recombinant Monoclonal Antibody for Western Blot, IHC (P), Flow

PIAS1 functions as an E3-type small ubiquitin-like modifier (SUMO) ligase, stabilizing the interaction between UBE2I and the substrate, and as a SUMO-tethering factor. This protein plays a crucial role in transcriptional coregulation of various cellular pathways, including the STAT pathway, the p53 pathway and the steroid hormone signaling pathway. It functions in testis as a nuclear receptor transcriptional coregulator and may have a role in androgen receptor initiation and maintenance of spermatogenesis. The effects of transcriptional coregulation, transactivation or silencing, may vary depending upon the biological context.
TRUSTED_SUSTAINABILITY
Specifications

Specifications

PIAS1
Recombinant Monoclonal
1 mg/mL
TBS with 0.05% BSA, 40% glycerol and 0.05% sodium azide; pH 7.4
O75925, O88907
PIAS1
Synthetic peptide within human PIAS1 aa 71-120/651.
100 μL
Primary
Human, Mouse
Antibody
IgG
Flow Cytometry, Immunohistochemistry (Paraffin), Western Blot
JE36-84
Unconjugated
PIAS1
2900068C24Rik; AR interacting protein; Ddxbp1; DEAD/H (Asp-Glu-Ala-Asp/His) box binding protein 1; DEAD/H box-binding protein 1; E3 SUMO-protein ligase PIAS1; E3 SUMO-protein transferase PIAS1; GBP; Gu binding protein; GU/RH-II; gu-binding protein; PIAS1; protein inhibitor of activated STAT 1; protein inhibitor of activated STAT protein 1; protein inhibitor of activated STAT, 1; protein inhibitor of activated STAT-1; RING-type E3 ubiquitin transferase PIAS1; RNA helicase II-binding protein; zinc finger, MIZ-type containing 3; ZMIZ3
Rabbit
Protein A
RUO
56469, 8554
Store at 4°C short term. For long term storage, store at -20°C, avoiding freeze/thaw cycles.
Liquid
Product Suggestions

Product Suggestions

Videos
SDS
Documents

Documents

Certificates
Promotions

Promotions

Product Content Correction

Your input is important to us. Please complete this form to provide feedback related to the content on this product.

Product Title

By clicking Submit, you acknowledge that you may be contacted by Fisher Scientific in regards to the feedback you have provided in this form. We will not share your information for any other purposes. All contact information provided shall also be maintained in accordance with our Privacy Policy.

Thank You! Your feedback has been submitted. Fisher Scientific is always working to improve our content for you. We appreciate your feedback.