missing translation for 'onlineSavingsMsg'
Learn More

PI3K p85/p55 Polyclonal Antibody, Invitrogen™

Rabbit Polyclonal Antibody

Brand:  Invitrogen PA538904

Product Code. 15585811

  • £415.09 / 100µg

Please to purchase this item. Need a web account? Register with us today!

This item is not returnable. View return policy

Description

Description

Phosphatidylinositol 3-kinase (PIK3) is a signaling protein that phosphorylates the inositol ring of phosphatidylinositol at the 3-prime position. Signaling is initiated when upstream tyrosine kinase receptors or G protein coupled receptors are bound by their ligands. It binds to activated (phosphorylated) protein-Tyr kinases, through its SH2 domain, and acts as an adapter, mediating the association of the p110 catalytic unit to the plasma membrane. Phosphatidylinositol 3-kinase plays an important role in the metabolic actions of insulin, and a mutation in this gene has been associated with insulin resistance. During insulin stimulation, it also binds to IRS-1. Mutations in the gene can result in Agammaglobulinemia 7, SHORT syndrome, or Immunodeficiency 36.
TRUSTED_SUSTAINABILITY
Specifications

Specifications

PI3K p85/p55
Polyclonal
Unconjugated
PIK3R1
Phosphatidylinositol 3-kinase regulatory subunit alpha, PI3-kinase regulatory subunit alpha, PI3K regulatory subunit alpha, PtdIns-3-kinase regulatory subunit alpha, Phosphatidylinositol 3-kinase 85 kDa regulatory subunit alpha, PI3-kinase subunit p85-alpha, PtdIns-3-kinase regulatory subunit p85-al, RP4-533D7.2, p55, p55-GAMMA, 100% homology to SWISS-PROT Q92569, PI3-kinase regulatory subunit gamma, PI3-kinase subunit p55-gamma, PI3K regulatory subunit gamma, p55PIK, phosphatidylinositol 3-kinase 55 kDa regulatory subunit gamma, phosphatidylinositol 3-kinase regulatory subunit gamma, phosphatidylinositol 3-kinase, regulatory subunit, polypeptide 3 (p55, gamma), phosphoinositide-3-kinase, regulatory subunit 3 (p55, gamma), phosphoinositide-3-kinase, regulatory subunit, polypeptide 3 (p55, ga
Rabbit
Antigen affinity chromatography
RUO
25513, 60664, 18710, 5295, 18708, 8505
-20°C
Liquid
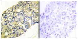
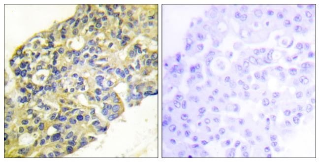
Immunocytochemistry, Immunofluorescence, Immunohistochemistry (Paraffin), Western Blot
1 mg/mL
Dulbecco′s PBS with 150mM NaCl, 50% glycerol and 0.02% sodium azide; pH 7.4
Q64143, Q92569, P26450, Q63787, P27986, Q63789
PIK3R1, PIK3R3
A synthetic non-phosphopeptide derived from human PI3-kinase p85-alpha/gamma around the phosphorylation site of Tyr468/199 (R-L-YP-E-E)
100 μg
Primary
Human, Mouse, Non-human Primate, Rat
Antibody
IgG
Product Suggestions

Product Suggestions

Videos
SDS
Documents

Documents

Product Certifications
Promotions

Promotions

Product Content Correction

Your input is important to us. Please complete this form to provide feedback related to the content on this product.

Product Title

By clicking Submit, you acknowledge that you may be contacted by Fisher Scientific in regards to the feedback you have provided in this form. We will not share your information for any other purposes. All contact information provided shall also be maintained in accordance with our Privacy Policy.

Thank You! Your feedback has been submitted. Fisher Scientific is always working to improve our content for you. We appreciate your feedback.